Tel:
+49 (0)241 95 163 153
Fax:
+49 (0)241 95 163 155
E-Mail:
orders@anticorps-enligne.fr

PDCD2L anticorps

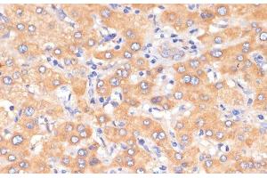
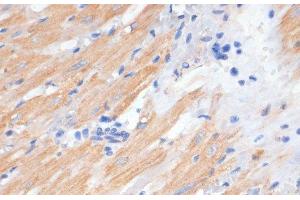
Cet anticorps anti-PDCD2L Polyclonal Lapin (ABIN7263417) détecte spécifiquement PDCD2L dans IHC. L’anticorps est réactif avec des échantillons de Humain, Souris et Rat.
N° du produit ABIN7263417
580,00 €
Plus frais de livraison 40,00 € et TVA
Destination: France
Envoi sous 9 à 13 jours ouvrables

Aperçu rapide pour PDCD2L anticorps (ABIN7263417)

Antigène

Voir toutes PDCD2L Anticorps
PDCD2L (Programmed Cell Death 2-Like (PDCD2L))

Reactivité

  • 21
  • 2
  • 2
  • 1
  • 1
  • 1
  • 1
Humain, Souris, Rat

Hôte

  • 17
  • 4
Lapin

Clonalité

  • 19
  • 2
Polyclonal

Conjugué

  • 16
  • 1
  • 1
  • 1
  • 1
  • 1
Cet anticorp PDCD2L est non-conjugé

Application

  • 20
  • 13
  • 2
  • 2
  • 2
  • 1
  • 1
  • 1
  • 1
Immunohistochemistry (IHC)
Vous êtes ici:
Chat with us!