Tel:
+49 (0)241 95 163 153
Fax:
+49 (0)241 95 163 155
E-Mail:
orders@anticorps-enligne.fr

ULK4 anticorps

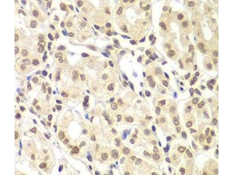
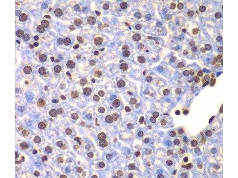
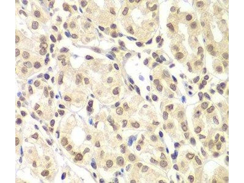
Cet anticorps anti-ULK4 Polyclonal Lapin (ABIN7011809) détecte spécifiquement ULK4 dans IHC et IF. L’anticorps est réactif avec des échantillons de Humain, Souris et Rat.
N° du produit ABIN7011809
179,00 €
Plus frais de livraison 40,00 € et TVA
60 μL
Destination: France
Envoi sous 9 à 13 jours ouvrables

Aperçu rapide pour ULK4 anticorps (ABIN7011809)

Antigène

Voir toutes ULK4 (ULK24) Anticorps
ULK4 (ULK24) (Unc-51-Like Kinase 4 (ULK24))

Reactivité

  • 20
  • 8
  • 5
  • 3
Humain, Souris, Rat

Hôte

  • 18
  • 2
Lapin

Clonalité

  • 18
  • 2
Polyclonal

Conjugué

  • 12
  • 1
  • 1
  • 1
  • 1
  • 1
  • 1
  • 1
  • 1
Cet anticorp ULK4 est non-conjugé

Application

  • 13
  • 10
  • 5
  • 5
  • 3
  • 3
  • 1
Immunohistochemistry (IHC), Immunofluorescence (IF)
  • Attributs du produit

    Polyclonal Antibody

    Purification

    Affinity purification

    Immunogène

    Recombinant fusion protein of human ULK4 (NP_060356.2).

    Isotype

    IgG
  • Indications d'application

    IHC 1:50-1:200 IF 1:50-1:200

    Restrictions

    For Research Use only
  • Format

    Liquid

    Concentration

    1 mg/mL

    Buffer

    PBS with 0.02 % sodium azide, 50 % glycerol, pH 7.3

    Agent conservateur

    Sodium azide

    Précaution d'utilisation

    This product contains Sodium azide: a POISONOUS AND HAZARDOUS SUBSTANCE which should be handled by trained staff only.

    Stock

    -20 °C

    Stockage commentaire

    Store at -20°C. Avoid freeze / thaw cycles.
  • Antigène

    ULK4 (ULK24) (Unc-51-Like Kinase 4 (ULK24))

    Autre désignation

    ULK4

    Sujet

    This gene encodes a member of the unc-51-like serine/threonine kinase (STK) family. Members of this protein family play a role in neuronal growth and endocytosis. The encoded protein is likely involved in neurite branching, neurite elongation and neuronal migration. Genome-wide association studies (GWAS) indicate an association of variations in this gene with blood pressure and hypertension. Sequence variations in this gene may also be be associated with psychiatric disorders, including schizophrenia and bipolar disorder. Pseudogenes associated with this gene have been identified and are located on chromosome 15.

    ID gène

    54986

    UniProt

    Q96C45
Vous êtes ici:
Chat with us!