OAS3 anticorps
Aperçu rapide pour OAS3 anticorps (ABIN7264801)
Antigène
Voir toutes OAS3 AnticorpsReactivité
Hôte
Clonalité
Conjugué
Application
-
-
Attributs du produit
- Polyclonal Antibody
-
Purification
- Affinity purification
-
Immunogène
- Recombinant fusion protein of human OAS3 (NP_006178.2).
-
Isotype
- IgG
-
-
-
-
Indications d'application
- WB 1:500-1:2000 IF 1:50-1:200
-
Restrictions
- For Research Use only
-
-
-
Format
- Liquid
-
Concentration
- 1 mg/mL
-
Buffer
- PBS with 0.02 % sodium azide, 50 % glycerol, pH 7.3
-
Agent conservateur
- Sodium azide
-
Précaution d'utilisation
- This product contains Sodium azide: a POISONOUS AND HAZARDOUS SUBSTANCE which should be handled by trained staff only.
-
Stock
- -20 °C
-
Stockage commentaire
- Store at -20°C. Avoid freeze / thaw cycles.
-
-
- OAS3 (2'-5' Oligoadenylate Synthetase 3 (OAS3))
-
Autre désignation
- OAS3
-
Sujet
- This gene encodes an enzyme included in the 2', 5' oligoadenylate synthase family. This enzyme is induced by interferons and catalyzes the 2', 5' oligomers of adenosine in order to bind and activate RNase L. This enzyme family plays a significant role in the inhibition of cellular protein synthesis and viral infection resistance.
-
Poids moléculaire
-
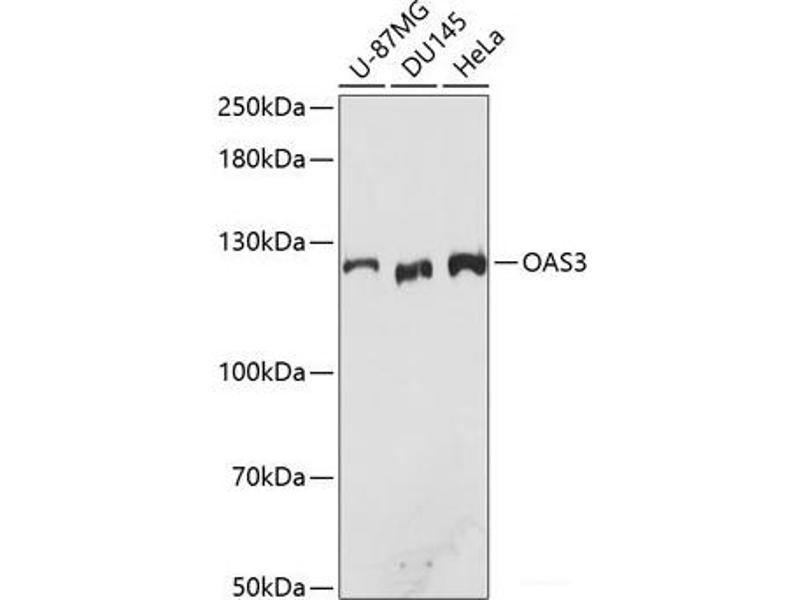
Observed_MW: 121 kDa
Calculated_MW: 121 kDa
-
ID gène
- 4940
-
UniProt
- Q9Y6K5
-
Pathways
- Hepatitis C
Antigène
-