Tel:
+49 (0)241 95 163 153
Fax:
+49 (0)241 95 163 155
E-Mail:
orders@anticorps-enligne.fr

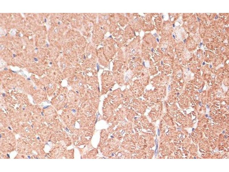
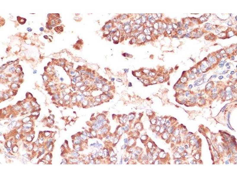
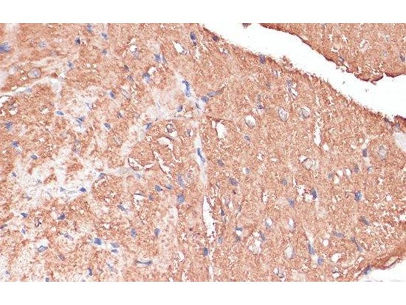
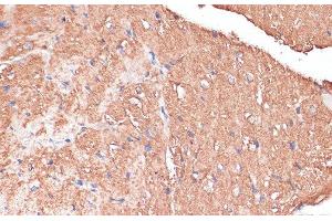
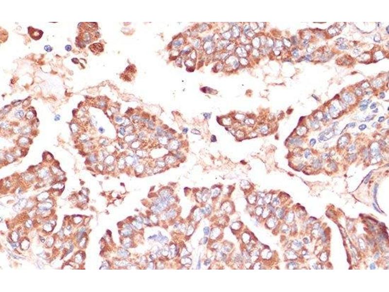
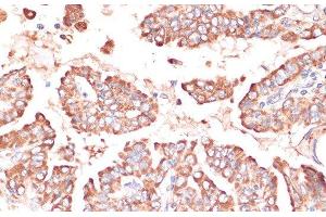
FRMD6 anticorps

Cet anticorps Lapin Polyclonal détecte spécifiquement FRMD6 dans IHC et IF. Il présente une réactivité avec des échantillons de Humain, Souris et Rat.
N° du produit ABIN7265006
580,00 €
Plus frais de livraison 40,00 € et TVA
Destination: France
Envoi sous 9 à 13 jours ouvrables

Aperçu rapide pour FRMD6 anticorps (ABIN7265006)

Antigène

Voir toutes FRMD6 Anticorps
FRMD6 (FERM Domain Containing 6 (FRMD6))

Reactivité

  • 11
  • 6
  • 5
  • 2
  • 1
  • 1
  • 1
  • 1
Humain, Souris, Rat

Hôte

  • 11
Lapin

Clonalité

  • 11
Polyclonal

Conjugué

  • 11
Cet anticorp FRMD6 est non-conjugé

Application

  • 11
  • 6
  • 5
  • 3
  • 1
  • 1
  • 1
  • 1
  • 1
  • 1
  • 1
Immunohistochemistry (IHC), Immunofluorescence (IF)
  • Attributs du produit

    Polyclonal Antibody

    Purification

    Affinity purification

    Immunogène

    Recombinant fusion protein of human FRMD6 (NP_689543.1).

    Isotype

    IgG
  • Indications d'application

    IHC 1:50-1:200 IF 1:50-1:200

    Restrictions

    For Research Use only
  • Format

    Liquid

    Concentration

    1 mg/mL

    Buffer

    PBS with 0.02 % sodium azide, 50 % glycerol, pH 7.3

    Agent conservateur

    Sodium azide

    Précaution d'utilisation

    This product contains Sodium azide: a POISONOUS AND HAZARDOUS SUBSTANCE which should be handled by trained staff only.

    Stock

    -20 °C

    Stockage commentaire

    Store at -20°C. Avoid freeze / thaw cycles.
  • Antigène

    FRMD6 (FERM Domain Containing 6 (FRMD6))

    Autre désignation

    FRMD6

    Sujet

    FRMD6 (FERM Domain Containing 6) is a Protein Coding gene. Diseases associated with FRMD6 include Wilson-Turner X-Linked Mental Retardation Syndrome. Among its related pathways are Neuroscience and Hippo signaling pathway - multiple species. An important paralog of this gene is EPB41L3.

    ID gène

    122786

    UniProt

    Q96NE9
Vous êtes ici:
Chat with us!