Tel:
+49 (0)241 95 163 153
Fax:
+49 (0)241 95 163 155
E-Mail:
orders@anticorps-enligne.fr

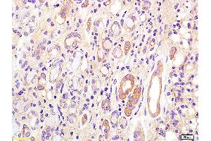
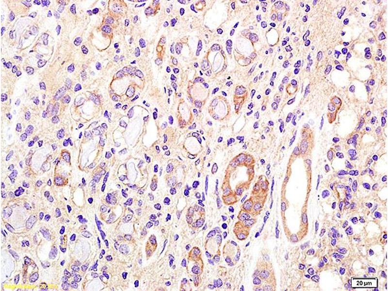
ST6GAL1 anticorps (AA 301-406)

L’anticorps anti-ST6GAL1 Polyclonal Lapin est utilisé pour la détection de ST6GAL1 dans des échantillons de Humain et Souris. Il a été validé pour WB, ELISA, IHC (p), IF (cc), IF (p) et IHC (fro).
N° du produit ABIN704201
357,70 €
Plus frais de livraison 40,00 € et TVA
100 μL
Destination: France
Envoi sous 8 à 12 jours ouvrables

Aperçu rapide pour ST6GAL1 anticorps (AA 301-406) (ABIN704201)

Antigène

Voir toutes ST6GAL1 Anticorps
ST6GAL1 (ST6 beta-Galactosamide alpha-2,6-Sialyltranferase 1 (ST6GAL1))

Reactivité

  • 74
  • 31
  • 12
  • 4
  • 4
  • 3
  • 3
  • 3
  • 3
  • 3
  • 2
  • 2
  • 1
  • 1
  • 1
Humain, Souris

Hôte

  • 54
  • 20
  • 1
Lapin

Clonalité

  • 56
  • 19
Polyclonal

Conjugué

  • 41
  • 5
  • 4
  • 3
  • 2
  • 2
  • 1
  • 1
  • 1
  • 1
  • 1
  • 1
  • 1
  • 1
  • 1
  • 1
  • 1
  • 1
  • 1
  • 1
  • 1
  • 1
  • 1
  • 1
Cet anticorp ST6GAL1 est non-conjugé

Application

  • 48
  • 20
  • 19
  • 17
  • 12
  • 12
  • 12
  • 9
  • 5
  • 4
  • 3
  • 3
  • 2
  • 2
  • 1
Western Blotting (WB), ELISA, Immunohistochemistry (Paraffin-embedded Sections) (IHC (p)), Immunofluorescence (Cultured Cells) (IF (cc)), Immunofluorescence (Paraffin-embedded Sections) (IF (p)), Immunohistochemistry (Frozen Sections) (IHC (fro))
  • Épitope

    • 14
    • 8
    • 7
    • 4
    • 3
    • 2
    • 1
    • 1
    • 1
    • 1
    • 1
    • 1
    • 1
    • 1
    • 1
    • 1
    • 1
    • 1
    • 1
    AA 301-406

     Réactivité croisée

    Humain, Souris

    Homologie

    Rat,Dog,Cow,Pig,Horse

    Purification

    Purified by Protein A.

    Immunogène

    KLH conjugated synthetic peptide derived from human CD75

    Isotype

    IgG
  • Indications d'application

    WB 1:300-5000
    ELISA 1:500-1000
    IHC-P 1:200-400
    IHC-F 1:100-500
    IF(IHC-P) 1:50-200
    IF(IHC-F) 1:50-200
    IF(ICC) 1:50-200

    Restrictions

    For Research Use only
  • Format

    Liquid

    Concentration

    1 μg/μL

    Buffer

    0.01M TBS( pH 7.4) with 1 % BSA, 0.02 % Proclin300 and 50 % Glycerol.

    Agent conservateur

    ProClin

    Précaution d'utilisation

    This product contains ProClin: a POISONOUS AND HAZARDOUS SUBSTANCE, which should be handled by trained staff only.

    Stock

    4 °C,-20 °C

    Stockage commentaire

    Shipped at 4°C. Store at -20°C for one year. Avoid repeated freeze/thaw cycles.

    Date de péremption

    12 months
  • Antigène

    ST6GAL1 (ST6 beta-Galactosamide alpha-2,6-Sialyltranferase 1 (ST6GAL1))

    Autre désignation

    CD75

    Sujet

    Synonyms: ST6N, SIAT1, ST6GalI, Beta-galactoside alpha-2,6-sialyltransferase 1, Alpha 2,6-ST 1, B-cell antigen CD75, CMP-N-acetylneuraminate-beta-galactosamide-alpha-2,6-sialyltransferase 1, ST6Gal I, Sialyltransferase 1, ST6GAL1

    Background: The protein encoded by this gene is a type II membrane protein that catalyzes the transfer of sialic acid from CMP sialic acid to galactose-containing substrates. The encoded protein, which is normally found in the Golgi apparatus but which can be proteolytically processed to a soluble form, is involved in the generation of the cell surface carbohydrate determinants and differentiation antigens HB6, CDw75, and CD76. This protein is a member of glycosyltransferase family 29. Three transcript variants encoding two different isoforms have been found for this gene.

    ID gène

    6480

    UniProt

    P15907
Vous êtes ici:
Chat with us!