Tel:
+49 (0)241 95 163 153
Fax:
+49 (0)241 95 163 155
E-Mail:
orders@anticorps-enligne.fr

MCOLN1 anticorps (Intracellular)

L’anticorps anti-MCOLN1 Polyclonal Lapin est utilisé pour la détection de MCOLN1 dans des échantillons de Souris. Il a été validé pour WB et IHC.
N° du produit ABIN7043336
977,85 €
Plus frais de livraison 40,00 € et TVA
Destination: France
Envoi sous 8 à 9 jours ouvrables

Aperçu rapide pour MCOLN1 anticorps (Intracellular) (ABIN7043336)

Antigène

Voir toutes MCOLN1 Anticorps
MCOLN1 (Mucolipin 1 (MCOLN1))

Reactivité

  • 15
  • 4
  • 3
  • 2
  • 2
  • 2
  • 1
  • 1
  • 1
  • 1
  • 1
Souris

Hôte

  • 13
  • 3
Lapin

Clonalité

  • 15
  • 1
Polyclonal

Conjugué

  • 13
  • 1
  • 1
  • 1
Cet anticorp MCOLN1 est non-conjugé

Application

  • 15
  • 8
  • 7
  • 3
Western Blotting (WB), Immunohistochemistry (IHC)

Classe de qualité

KO Validated
  • Épitope

    • 6
    • 3
    • 2
    • 2
    • 1
    • 1
    • 1
    AA 6-19, Intracellular

    Fonction

    A Rabbit Polyclonal Antibody to TRPML1 (Mucolipin 1) Channel

    Specificité

    Intracellular, N-terminus (cytoplasmic)

     Réactivité croisée

    Humain, Souris, Rat

    Homologie

    Human,rat - 12,14 amino acid residues identical

    Attributs du produit

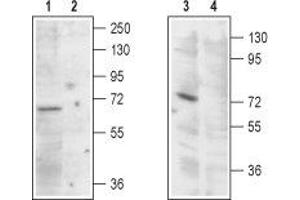
    Anti-TRPML1 (Mucolipin 1) Antibody is directed against an epitope of mouse TRPML1. Anti-TRPML1 (Mucolipin 1) Antibody (ABIN7043336, ABIN7044039 and ABIN7044040) can be used in western blot analysis. It has been designed to recognize TRPML1 from human, rat and mouse samples.

    Purification

    Affinity purified on immobilized antigen.

    Immunogène

    Immunogen: Synthetic peptide

    Immunogen Sequence: (C)GRRASETERLLTPN, corresponding to amino acid residues 6-19 of mouse TRPLM1

    Isotype

    IgG
  • Indications d'application

    Antigen preadsorption control: 1 μg peptide per 1 μg antibody

    Application Dilutions Immunohistochemistry paraffin embedded sections ihc: 1:1000

    Application Dilutions Western blot wb: 1:200

    Commentaires

    Cited Application: IP|ICC

    Negative Control: (ABIN7235971)

    Blocking Peptide: (ABIN7235971)

    Restrictions

    For Research Use only
  • Format

    Lyophilized

    Reconstitution

    0.2 mL double distilled water (DDW).

    Concentration

    1 mg/mL

    Buffer

    PBS pH 7.4

    Stock

    4 °C,-20 °C

    Stockage commentaire

    Storage before reconstitution: The antibody ships as a lyophilized powder at room temperature. Upon arrival, it should be stored at -20°C.

    Storage after reconstitution: The reconstituted solution can be stored at 4°C for up to 1 week. For longer periods, small aliquots should be stored at -20°C. Avoid multiple freezing and thawing. Centrifuge all antibody preparations before use (10000 x g 5 min).

  • Antigène

    MCOLN1 (Mucolipin 1 (MCOLN1))

    Autre désignation

    MCOLN1

    Sujet

    Mcoln1, Mucolipidin,The endolysosome system takes part in important cellular functions such as membrane trafficking, protein transport, autophagy and signal transduction1. Endosomes result from endocytosis of the plasma membrane and lysosomes (which are derived from late endosomes) conatin mainly hydrolytic enzymes and generally have a low internal pH 1. Like the endoplasmic reticulum (ER), endolysosomes also store Ca2+ (luminal Ca2+ concentration: 0.5 mM)1,2, and similarly to Ca2+ release from the ER, Ca2+ from endolysosomes may also play an important role in various signaling events. To date such candidates include members of the TRP super-family of ion channels and the two-pore Ca2+ channels (TPCs)1,3,4.TRPMLs, also termed mucolipins, are members of the TRP channels. In mammals, three TRPMLs are known to date (TRPML1-3 or MCOLN1-3). They are all localized to endolysosomes, although when over expressed in heterologous systems, TRPML3 is found on the plasma membrane1,5. These channels are Ca2+ permeable and display inward rectifying current properties1,5. Like all members of this family, TRPMLs have six transmembrane domains and intracellular N- and C-termini (relatively short tails compared to other members). They are characterized by an exceptionally large extracellular (luminal) loop between transmembrane domains 1 and 2, and N-glycosylation sites are present in the first extracellular (luminal) loop5.In mammals, TRPML1 is expressed in a ubiquitous manner and shows highest expression in the brain, kidney, spleen, liver and heart1,6. TRPML2 and TRPML3 are less widely expressed. Interestingly, in mouse, two splice variants exist for TRPML2. The shorter variant is more broadly expressed and is dominant over the longer variant in the thymus, spleen and kidney1,7. TRPML3 is highly detected in the thymus, lung, kidney, spleen and eye1,7,8, some epithelial cells1,9 and brain10.Pathologies related to these channels include type IV mucolipidosis, a neurodegenetative disease characterized by retardation and retinal degeneration caused by a loss of function mutation in the gene encoding TRPML1. In contrast, a gain of function mutation in TRPML3, in mice, causes deafness, and pigmentation defects11.

    Alternative names: TRPML1 (Mucolipin 1), Mcoln1, Mucolipidin

    ID gène

    94178

    NCBI Accession

    NM_020533

    UniProt

    Q99J21

    Pathways

    Transition Metal Ion Homeostasis
Vous êtes ici:
Chat with us!