Tel:
+49 (0)241 95 163 153
Fax:
+49 (0)241 95 163 155
E-Mail:
orders@anticorps-enligne.fr

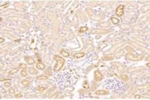
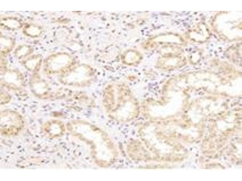
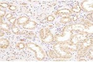
Cathepsin L2 anticorps

Cet anticorps Lapin Polyclonal détecte spécifiquement Cathepsin L2 dans IHC et IF. Il présente une réactivité avec des échantillons de Humain, Souris et Rat.
N° du produit ABIN7073348
592,31 €
Plus frais de livraison 40,00 € et TVA
100 μL
Destination: France
Envoi sous 13 à 20 jours ouvrables

Aperçu rapide pour Cathepsin L2 anticorps (ABIN7073348)

Antigène

Voir toutes Cathepsin L2 (CTSL2) Anticorps
Cathepsin L2 (CTSL2)

Reactivité

  • 31
  • 12
  • 4
  • 3
  • 2
  • 2
  • 2
  • 1
  • 1
  • 1
  • 1
Humain, Souris, Rat

Hôte

  • 27
  • 4
Lapin

Clonalité

  • 28
  • 3
Polyclonal

Conjugué

  • 24
  • 1
  • 1
  • 1
  • 1
  • 1
  • 1
  • 1
Cet anticorp Cathepsin L2 est non-conjugé

Application

  • 23
  • 9
  • 8
  • 3
  • 2
  • 1
  • 1
  • 1
Immunohistochemistry (IHC), Immunofluorescence (IF)
  •  Réactivité croisée

    Souris, Rat

    Purification

    Affinity purification

    Immunogène

    Recombinant protein corresponding to Human Cathepsin V
  • Indications d'application

    IHC/IF (H,M,R) 1:1000-1:2000/1:300-1:600

    Restrictions

    For Research Use only
  • Format

    Liquid

    Buffer

    PBS, pH 7.4, 0.02 % sodium azide

    Agent conservateur

    Sodium azide

    Précaution d'utilisation

    This product contains Sodium azide: a POISONOUS AND HAZARDOUS SUBSTANCE which should be handled by trained staff only.

    Stock

    -20 °C
  • Antigène

    Cathepsin L2 (CTSL2)

    Autre désignation

    Cathepsin V

    Sujet

    Cathepsin V is a lysosomal cysteine protease which has an important role in corneal physiology.Cathepsin V was found to be differentially expressed in relation to pigmentary skin backgrounds, and was about 7.5-folds higher in keratinocytes from lightly pigmented, relative to darkly pigmented skins. It is expressed in primary keratinocytes, melanocytes, and HaCaT keratinocytes, but not in primary fibroblasts. The purified cathepsin L2 was a high molecular weight proteinase of about 78 kDa, but it was unstable to SDS and reducing conditions, which dissociated parts of the proteinase into 66 kDa, 31 kDa and 26 kDa fragments(Food Chemistry,Volume11,Issue4,879-886) and it can form a complex of 70 kDa with an unidentified subunit.

    ID gène

    1515

    NCBI Accession

    NP_001188504

    UniProt

    O60911

    Pathways

    Toll-Like Receptors Cascades
Vous êtes ici:
Chat with us!