Tel:
+49 (0)241 95 163 153
Fax:
+49 (0)241 95 163 155
E-Mail:
orders@anticorps-enligne.fr

Cdc25 anticorps

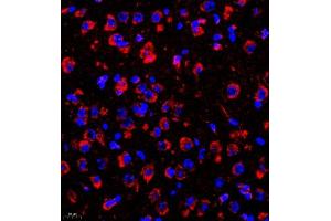
Cet anticorps anti-Cdc25 Polyclonal Lapin (ABIN7073422) détecte spécifiquement Cdc25 dans IHC et IF. L’anticorps est réactif avec des échantillons de Souris et Rat.
N° du produit ABIN7073422
592,31 €
Plus frais de livraison 40,00 € et TVA
100 μL
Destination: France
Envoi sous 13 à 20 jours ouvrables

Aperçu rapide pour Cdc25 anticorps (ABIN7073422)

Antigène

Cdc25 (CDC25) (Cell Division Cycle 25 (CDC25))

Reactivité

Souris, Rat

Hôte

  • 3
  • 1
Lapin

Clonalité

  • 3
  • 1
Polyclonal

Conjugué

  • 4
Cet anticorp Cdc25 est non-conjugé

Application

  • 4
  • 4
  • 3
  • 2
  • 1
Immunohistochemistry (IHC), Immunofluorescence (IF)
  •  Réactivité croisée

    Rat

    Purification

    Affinity purification

    Immunogène

    Recombinant protein corresponding to Mouse CDC25
  • Indications d'application

    IHC/IF (M,R) 1:2000-1:4000/1:1000-1:3000

    Restrictions

    For Research Use only
  • Format

    Liquid

    Buffer

    PBS, pH 7.4, 0.02 % sodium azide

    Agent conservateur

    Sodium azide

    Précaution d'utilisation

    This product contains Sodium azide: a POISONOUS AND HAZARDOUS SUBSTANCE which should be handled by trained staff only.

    Stock

    -20 °C
  • Antigène

    Cdc25 (CDC25) (Cell Division Cycle 25 (CDC25))

    Autre désignation

    CDC25

    Sujet

    The protein encoded by this gene is a guanine nucleotide exchange factor (GEF) similar to the Saccharomyces cerevisiae CDC25 gene product. Functional analysis has demonstrated that this protein stimulates the dissociation of GDP from RAS protein. The studies of the similar gene in mouse suggested that the Ras-GEF activity of this protein in brain can be activated by Ca2+ influx, muscarinic receptors, and G protein beta-gamma subunit.

    ID gène

    19417

    NCBI Accession

    NP_035375

    UniProt

    P27671
Vous êtes ici:
Chat with us!