×
Pour une meilleure utilisation, nous vous conseillons d’activer Javascript dans votre navigateur.
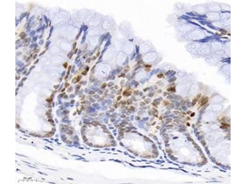
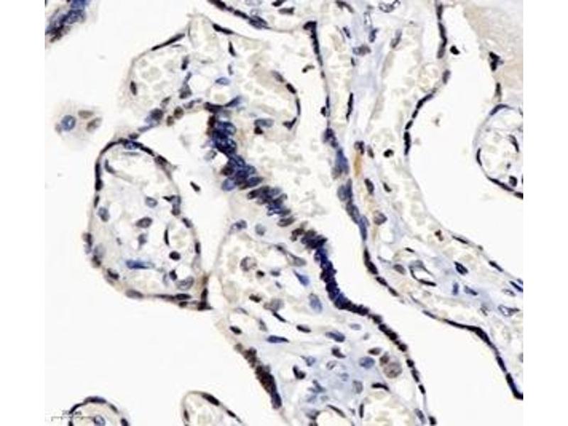
GINS2 anticorps
Cet anticorps Lapin Polyclonal détecte spécifiquement GINS2 dans IHC et IF. Il présente une réactivité avec des échantillons de Humain et Souris.
N° du produit ABIN7074041
592,31 €
Plus frais de livraison 40,00 € et TVA
Envoi sous 13 à 20 jours ouvrables
Aperçu rapide pour GINS2 anticorps (ABIN7074041)
Antigène
Voir toutes GINS2 Anticorps
GINS2
(GINS Complex Subunit 2 (Psf2 Homolog) (GINS2))
Reactivité
Toutes les réactivités sur GINS2 Anticorps
Humain, Souris
Hôte
Toutes les hôtes sur GINS2 Anticorps
Lapin
Clonalité
Toutes les clonalités sur GINS2 Anticorps
Polyclonal
Conjugué
Tous les conjugués à travers GINS2 Anticorps
Cet anticorp GINS2 est non-conjugé
Application
Tous les applications à travers GINS2 Anticorps.
Immunohistochemistry (IHC), Immunofluorescence (IF)
Détail du produit anti-GINS2 anticorps
(cache)
Réactivité croisée
Humain
Purification
Affinity purification
Immunogène
KLH conjugated Synthetic peptide corresponding to Mouse GINS2
Alternatives
(show)
Information d'application
(cache)
Indications d'application
IHC/IF (H,M) 1:1500-1:3000
Restrictions
For Research Use only
Stockage
(cache)
Format
Liquid
Buffer
PBS, pH 7.4, 0.02 % sodium azide
Agent conservateur
Sodium azide
Précaution d'utilisation
This product contains Sodium azide: a POISONOUS AND HAZARDOUS SUBSTANCE which should be handled by trained staff only.
Stock
-20 °C
Détails sur GINS2
(cache)
Antigène
GINS2
(GINS Complex Subunit 2 (Psf2 Homolog) (GINS2))
Autre désignation
GINS2
Sujet
INS2, also named as DNA replication complex GINS protein PSF2, CGI-122, DC5, or HSPC037, is a 185 amino acid protein, which belongs to the GINS2/PSF2 family. The GINS complex plays an essential role in the initiation of DNA replication, and progression of DNA replication forks. GINS complex seems to bind preferentially to single-stranded DNA. GINS2 is a part of the the GINS complex, an integral component of the replicative helicase machinery that facilitates progression of the replisome complex.
ID gène
272551
UniProt
Q9D600
Pathways
DNA Replication , Synthesis of DNA
Vus récemment
(cache)
Chat with us , powered by LiveChat