Tel:
+49 (0)241 95 163 153
Fax:
+49 (0)241 95 163 155
E-Mail:
orders@anticorps-enligne.fr

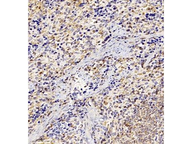
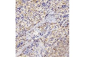
CD42b anticorps

Cet anticorps anti-CD42b Polyclonal Lapin (ABIN7074109) détecte spécifiquement CD42b dans IHC et IF. L’anticorps est réactif avec des échantillons de Rat.
N° du produit ABIN7074109
592,31 €
Plus frais de livraison 40,00 € et TVA
100 μL
Destination: France
Envoi sous 13 à 20 jours ouvrables

Aperçu rapide pour CD42b anticorps (ABIN7074109)

Antigène

Voir toutes CD42b (GP1BA) Anticorps
CD42b (GP1BA) (Glycoprotein Ib (Platelet), alpha Polypeptide (GP1BA))

Reactivité

  • 92
  • 15
  • 5
  • 2
  • 1
  • 1
  • 1
  • 1
  • 1
  • 1
Rat

Hôte

  • 48
  • 42
  • 2
  • 1
Lapin

Clonalité

  • 53
  • 40
Polyclonal

Conjugué

  • 45
  • 9
  • 6
  • 5
  • 5
  • 3
  • 3
  • 3
  • 3
  • 3
  • 3
  • 2
  • 1
  • 1
  • 1
Cet anticorp CD42b est non-conjugé

Application

  • 47
  • 36
  • 26
  • 22
  • 11
  • 7
  • 6
  • 5
  • 4
  • 3
  • 3
  • 3
  • 1
  • 1
  • 1
Immunohistochemistry (IHC), Immunofluorescence (IF)
Vous êtes ici:
Chat with us!