HES3 anticorps
Aperçu rapide pour HES3 anticorps (ABIN7074159)
Antigène
Voir toutes HES3 AnticorpsReactivité
Hôte
Clonalité
Conjugué
Application
-
-
Réactivité croisée
- Rat
-
Purification
- Affinity purification
-
Immunogène
- Recombinant protein corresponding to Mouse HES3
-
-
-
-
Indications d'application
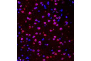
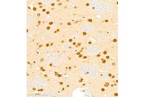
- IHC/IF (M,R) 1:1000-1:3000/1:2000-1:4000
-
Restrictions
- For Research Use only
-
-
-
Format
- Liquid
-
Buffer
- PBS, pH 7.4, 0.02 % sodium azide
-
Agent conservateur
- Sodium azide
-
Précaution d'utilisation
- This product contains Sodium azide: a POISONOUS AND HAZARDOUS SUBSTANCE which should be handled by trained staff only.
-
Stock
- -20 °C
-
-
- HES3 (Hairy and Enhancer of Split 3 (HES3))
-
Autre désignation
- HES3
-
Sujet
- The Drosophila hairy and Enhancer of split genes encode basic helix-loop-helix (bHLH) transcriptional repressors that function in the Notch signaling pathway and control segmentation and neural development during embryogenesis. The mammalian homologues of Drosophila hairy and Enhancer of split are the HES gene family members, HES1-6, which also encode bHLH transcriptional repressors that regulate myogenesis and neurogenesis. HES3 is a member of the homeobox family of transcription factors.
-
ID gène
- 15207
-
NCBI Accession
- NP_032263
-
UniProt
- Q61657
Antigène
-