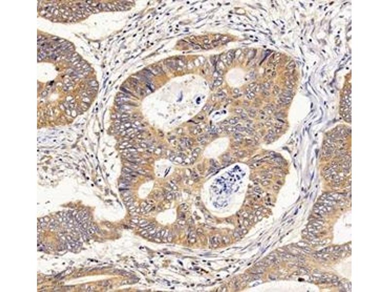
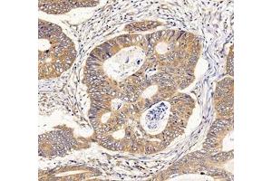
Cet anticorps anti-IFIT5 Polyclonal Lapin (ABIN7074334) détecte spécifiquement IFIT5 dans IHC et IF.
L’anticorps est réactif avec des échantillons de Humain et Souris.
IFIT5
Reactivité: Humain
ELISA
Hôte: Lapin
Polyclonal
HRP
Indications d'application
IHC/IF (H,M) 1:300-1:1800
Restrictions
For Research Use only
Format
Liquid
Buffer
PBS, pH 7.4, 0.02 % sodium azide
Agent conservateur
Sodium azide
Précaution d'utilisation
This product contains Sodium azide: a POISONOUS AND HAZARDOUS SUBSTANCE which should be handled by trained staff only.
Stock
-20 °C
Antigène
IFIT5
(Interferon-Induced Protein with Tetratricopeptide Repeats 5 (IFIT5))
Autre désignation
IFIT5
Sujet
Interferon-induced RNA-binding protein that specifically binds single-stranded RNA bearing a 5'-triphosphate group (PPP-RNA), thereby acting as a sensor of viral single-stranded RNAs. Single-stranded PPP-RNAs, which lack 2'-O-methylation of the 5' cap and bear a 5'-triphosphate group instead, are specific from viruses, providing a molecular signature to distinguish between self and non-self mRNAs by the host during viral infection. Directly binds PPP-RNA in a non-sequence-specific manner. Also recognizes and binds tRNAs.