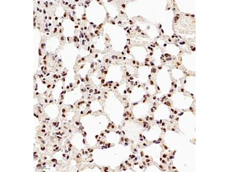
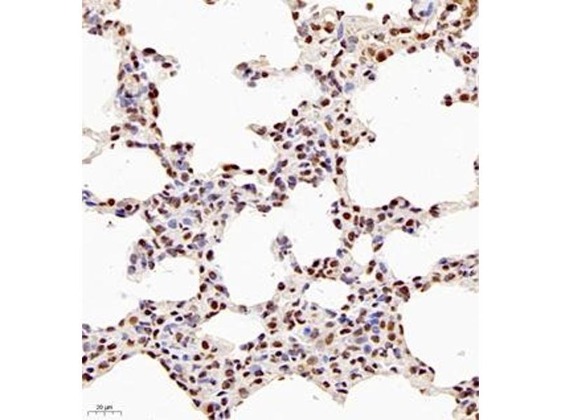
Cet anticorps anti-NSFL1C Polyclonal Lapin (ABIN7074865) détecte spécifiquement NSFL1C dans IF et IHC.
L’anticorps est réactif avec des échantillons de Souris et Rat.
NSFL1C
Reactivité: Humain, Souris, Rat
WB, IF, IHC
Hôte: Lapin
Polyclonal
unconjugated
Indications d'application
IHC/IF (M,R) 1:700-1:2000/1:650-1:1300
Restrictions
For Research Use only
Format
Liquid
Buffer
PBS, pH 7.4, 0.02 % sodium azide
Agent conservateur
Sodium azide
Précaution d'utilisation
This product contains Sodium azide: a POISONOUS AND HAZARDOUS SUBSTANCE which should be handled by trained staff only.
Stock
-20 °C
Antigène
NSFL1C
(NSFL1 (p97) Cofactor (p47) (NSFL1C))
Autre désignation
NSFL1C
Sujet
Reduces the ATPase activity of VCP. Necessary for the fragmentation of Golgi stacks during mitosis and for VCP-mediated reassembly of Golgi stacks after mitosis. May play a role in VCP-mediated formation of transitional endoplasmic reticulum (tER) (By similarity). Inhibits the activity of CTSL .