Tel:
+49 (0)241 95 163 153
Fax:
+49 (0)241 95 163 155
E-Mail:
orders@anticorps-enligne.fr

PARN anticorps

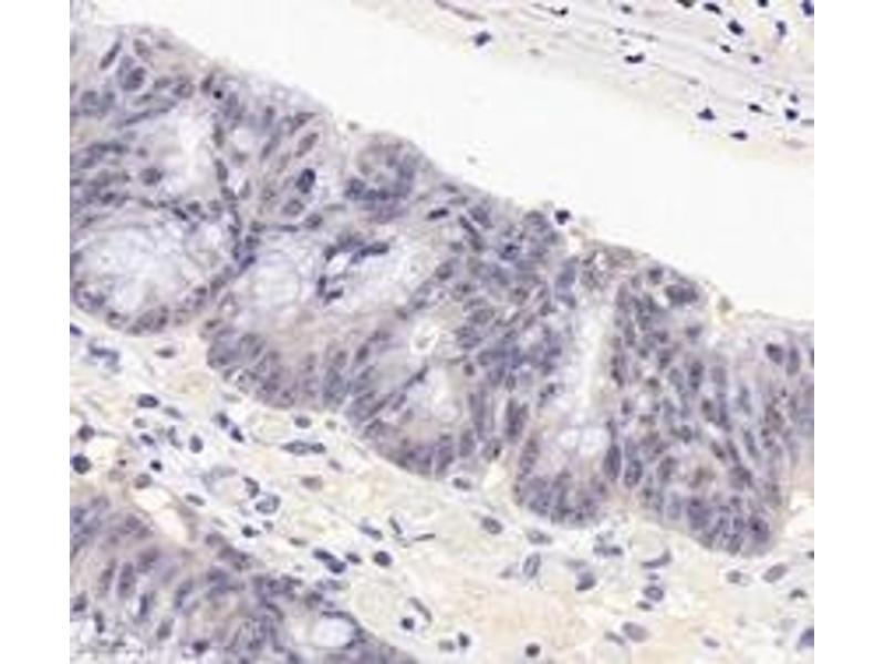
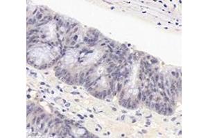
Cet anticorps anti-PARN Polyclonal Lapin (ABIN7075117) détecte spécifiquement PARN dans WB, IHC et IF. L’anticorps est réactif avec des échantillons de Humain et Souris.
N° du produit ABIN7075117
592,31 €
Plus frais de livraison 40,00 € et TVA
100 μL
Destination: France
Envoi sous 13 à 20 jours ouvrables

Aperçu rapide pour PARN anticorps (ABIN7075117)

Antigène

Voir toutes PARN Anticorps
PARN (Poly A Specific Ribonuclease (PARN))

Reactivité

  • 42
  • 10
  • 8
  • 3
  • 3
  • 3
  • 2
  • 2
  • 2
  • 2
  • 1
  • 1
  • 1
Humain, Souris

Hôte

  • 32
  • 10
Lapin

Clonalité

  • 35
  • 7
Polyclonal

Conjugué

  • 30
  • 2
  • 2
  • 2
  • 1
  • 1
  • 1
  • 1
  • 1
  • 1
Cet anticorp PARN est non-conjugé

Application

  • 31
  • 13
  • 12
  • 10
  • 6
  • 4
  • 3
  • 2
  • 1
  • 1
Western Blotting (WB), Immunohistochemistry (IHC), Immunofluorescence (IF)
  •  Réactivité croisée

    Humain

    Purification

    Affinity purification

    Immunogène

    Recombinant protein corresponding to Mouse PARN
  • Indications d'application

    WB (H,M) 1:500-1:1000, IHC/IF (H) 1:900-1:1800

    Restrictions

    For Research Use only
  • Format

    Liquid

    Buffer

    PBS, pH 7.4, 0.02 % sodium azide

    Agent conservateur

    Sodium azide

    Précaution d'utilisation

    This product contains Sodium azide: a POISONOUS AND HAZARDOUS SUBSTANCE which should be handled by trained staff only.

    Stock

    -20 °C
  • Antigène

    PARN (Poly A Specific Ribonuclease (PARN))

    Autre désignation

    PARN

    Sujet

    The protein encoded by this gene is a 3'-exoribonuclease, with similarity to the RNase D family of 3'-exonucleases. It prefers poly(A) as the substrate, hence, efficiently degrades poly(A) tails of mRNAs. Exonucleolytic degradation of the poly(A) tail is often the first step in the decay of eukaryotic mRNAs. This protein is also involved in silencing of certain maternal mRNAs during oocyte maturation and early embryonic development, as well as in nonsense-mediated decay (NMD) of mRNAs that contain premature stop codons. Alternatively spliced transcript variants encoding different isoforms have been found for this gene.

    Poids moléculaire

    76 kDa

    ID gène

    74108

    UniProt

    Q8VDG3
Vous êtes ici:
Chat with us!