Tel:
+49 (0)241 95 163 153
Fax:
+49 (0)241 95 163 155
E-Mail:
orders@anticorps-enligne.fr

RRAGB anticorps

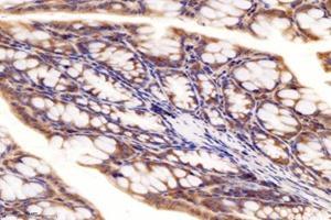
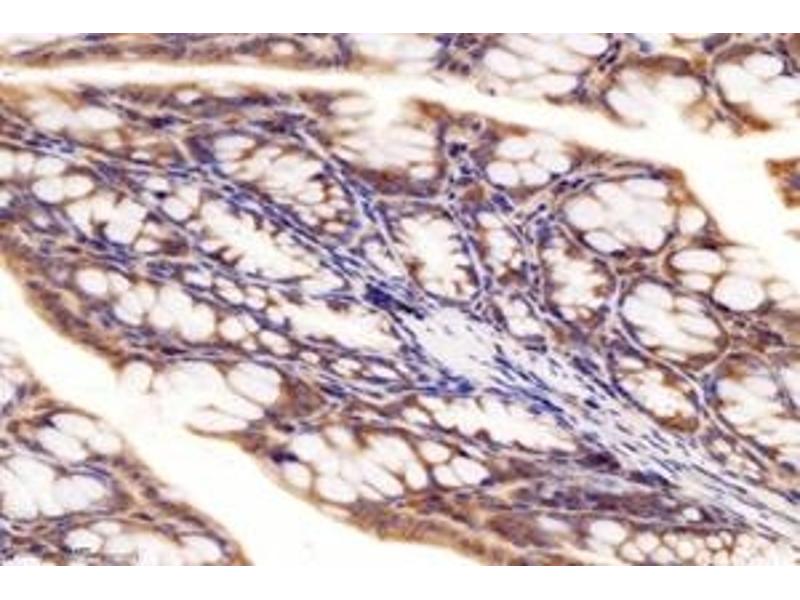
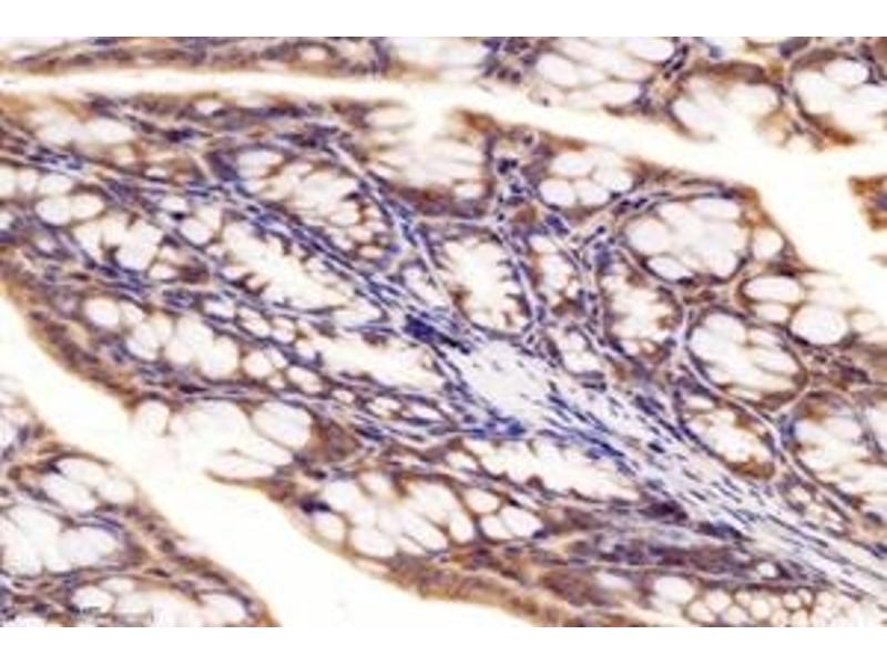
Cet anticorps Lapin Polyclonal détecte spécifiquement RRAGB dans WB, IHC et IF. Il présente une réactivité avec des échantillons de Humain, Souris et Rat.
N° du produit ABIN7075379
592,31 €
Plus frais de livraison 40,00 € et TVA
100 μL
Destination: France
Envoi sous 13 à 20 jours ouvrables

Aperçu rapide pour RRAGB anticorps (ABIN7075379)

Antigène

Voir toutes RRAGB Anticorps
RRAGB (Ras-Related GTP Binding B (RRAGB))

Reactivité

  • 21
  • 5
  • 5
  • 2
  • 2
  • 2
  • 2
  • 2
  • 2
  • 1
  • 1
  • 1
  • 1
  • 1
  • 1
  • 1
Humain, Souris, Rat

Hôte

  • 17
  • 4
Lapin

Clonalité

  • 20
  • 1
Polyclonal

Conjugué

  • 16
  • 1
  • 1
  • 1
  • 1
  • 1
Cet anticorp RRAGB est non-conjugé

Application

  • 18
  • 14
  • 3
  • 1
  • 1
Western Blotting (WB), Immunohistochemistry (IHC), Immunofluorescence (IF)
  •  Réactivité croisée

    Humain, Rat

    Purification

    Affinity purification

    Immunogène

    Recombinant protein corresponding to Mouse RRAGB
  • Indications d'application

    WB (H,M,R) 1:500-1:1000, IHC/IF (M,R) 1:2000-1:4000

    Restrictions

    For Research Use only
  • Format

    Liquid

    Buffer

    PBS, pH 7.4, 0.02 % sodium azide

    Agent conservateur

    Sodium azide

    Précaution d'utilisation

    This product contains Sodium azide: a POISONOUS AND HAZARDOUS SUBSTANCE which should be handled by trained staff only.

    Stock

    -20 °C
  • Antigène

    RRAGB (Ras-Related GTP Binding B (RRAGB))

    Autre désignation

    RRAGB

    Sujet

    Guanine nucleotide-binding protein that plays a crucial role in the cellular response to amino acid availability through regulation of the mTORC1 signaling cascade. Forms heterodimeric Rag complexes with RRAGC or RRAGD and cycles between an inactive GDP-bound and an active GTP-bound form. In its active form participates in the relocalization of mTORC1 to the lysosomes and its subsequent activation by the GTPase RHEB. Involved in the RCC1/Ran-GTPase pathway.

    Poids moléculaire

    43 kDa

    ID gène

    245670

    NCBI Accession

    NP_001004154

    UniProt

    Q6NTA4
Vous êtes ici:
Chat with us!