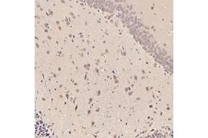
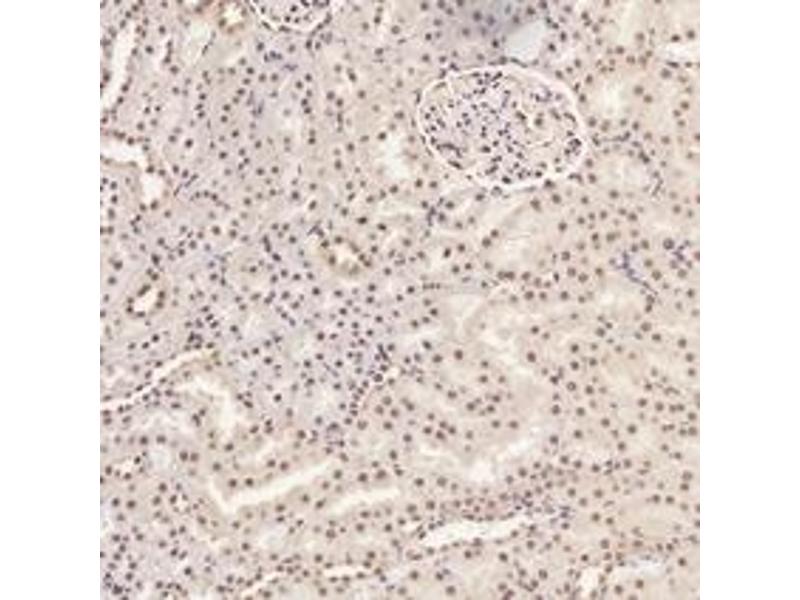
L’anticorps anti-RMND5A Polyclonal Lapin est utilisé pour la détection de RMND5A dans des échantillons de Souris et Rat. Il a été validé pour IHC et IF.
RMND5A
Reactivité: Humain
ELISA, WB
Hôte: Lapin
Polyclonal
HRP
Indications d'application
IHC/IF (M,R) 1:1500-1:3000/1:600-1:1200
Restrictions
For Research Use only
Format
Liquid
Buffer
PBS, pH 7.4, 0.02 % sodium azide
Agent conservateur
Sodium azide
Précaution d'utilisation
This product contains Sodium azide: a POISONOUS AND HAZARDOUS SUBSTANCE which should be handled by trained staff only.
Stock
-20 °C
Antigène
RMND5A
(Required For Meiotic Nuclear Division 5 Homolog A (RMND5A))
Autre désignation
RMND5A
Sujet
Core component of the CTLH E3 ubiquitin-protein ligase complex that selectively accepts ubiquitin from UBE2H and mediates ubiquitination and subsequent proteasomal degradation of the transcription factor HBP1. MAEA and RMND5A are both required for catalytic activity of the CTLH E3 ubiquitin-protein ligase complex. Catalytic activity of the complex is required for normal cell proliferation. The CTLH E3 ubiquitin-protein ligase complex is not required for the degradation of enzymes involved in gluconeogenesis, such as FBP1.