Tel:
+49 (0)241 95 163 153
Fax:
+49 (0)241 95 163 155
E-Mail:
orders@anticorps-enligne.fr

ARHGAP18 anticorps

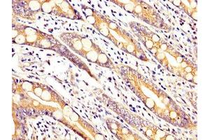
Cet anticorps anti-ARHGAP18 Polyclonal Lapin (ABIN7075417) détecte spécifiquement ARHGAP18 dans WB, IHC et IF. L’anticorps est réactif avec des échantillons de Humain, Souris et Rat.
N° du produit ABIN7075417
592,31 €
Plus frais de livraison 40,00 € et TVA
100 μL
Destination: France
Envoi sous 13 à 20 jours ouvrables

Aperçu rapide pour ARHGAP18 anticorps (ABIN7075417)

Antigène

Voir toutes ARHGAP18 Anticorps
ARHGAP18 (rho GTPase Activating Protein 18 (ARHGAP18))

Reactivité

  • 26
  • 6
  • 6
  • 1
Humain, Souris, Rat

Hôte

  • 26
Lapin

Clonalité

  • 26
Polyclonal

Conjugué

  • 17
  • 3
  • 2
  • 2
  • 1
  • 1
Cet anticorp ARHGAP18 est non-conjugé

Application

  • 22
  • 19
  • 11
  • 6
  • 3
  • 2
  • 2
  • 2
  • 1
  • 1
Western Blotting (WB), Immunohistochemistry (IHC), Immunofluorescence (IF)
Vous êtes ici:
Chat with us!