SR140 anticorps
Aperçu rapide pour SR140 anticorps (ABIN7076091)
Antigène
Reactivité
Hôte
Clonalité
Conjugué
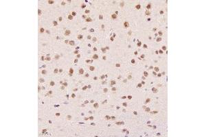
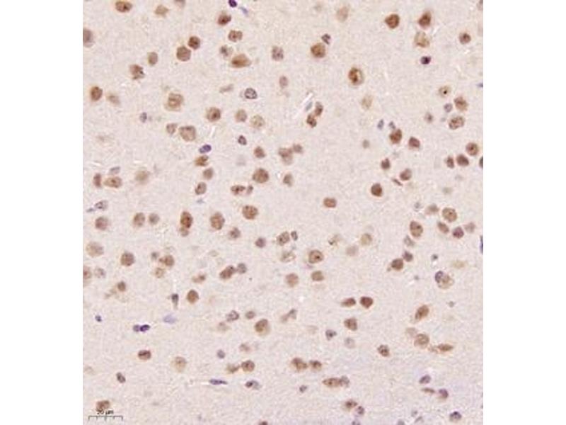
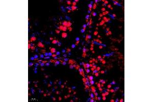
Application
-
-
Réactivité croisée
- Rat
-
Purification
- Affinity purification
-
Immunogène
- Recombinant protein corresponding to Mouse SR140
-
-
-
-
Indications d'application
- IHC/IF (M,R) 1:1000-1:3000/1:600-1:1200
-
Restrictions
- For Research Use only
-
-
-
Format
- Liquid
-
Buffer
- PBS, pH 7.4, 0.02 % sodium azide
-
Agent conservateur
- Sodium azide
-
Précaution d'utilisation
- This product contains Sodium azide: a POISONOUS AND HAZARDOUS SUBSTANCE which should be handled by trained staff only.
-
Stock
- -20 °C
-
-
- SR140 (U2-Associated SR140 Protein (SR140))
-
Autre désignation
- SR140
-
Sujet
- U2SURP (U2 SnRNP Associated SURP Domain Containing) is a Protein Coding gene. Diseases associated with U2SURP include Retinitis Pigmentosa 67. Among its related pathways are Gene Expression and mRNA Splicing - Major Pathway. Gene Ontology (GO) annotations related to this gene include nucleic acid binding and RNA binding.
-
ID gène
- 67958
-
NCBI Accession
- NP_001108449
-
UniProt
- Q6NV83
Antigène
-