Tel:
+49 (0)241 95 163 153
Fax:
+49 (0)241 95 163 155
E-Mail:
orders@anticorps-enligne.fr

Urotensin 2 anticorps

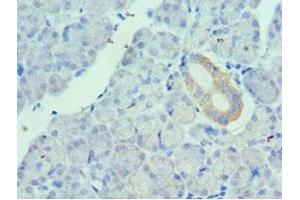
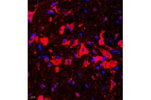
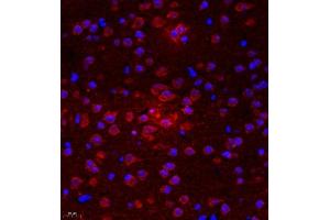
Cet anticorps Lapin Polyclonal détecte spécifiquement Urotensin 2 dans IHC et IF. Il présente une réactivité avec des échantillons de Rat et Souris.
N° du produit ABIN7076162
592,31 €
Plus frais de livraison 40,00 € et TVA
100 μL
Destination: France
Envoi sous 13 à 20 jours ouvrables

Aperçu rapide pour Urotensin 2 anticorps (ABIN7076162)

Antigène

Voir toutes Urotensin 2 (UTS2) Anticorps
Urotensin 2 (UTS2)

Reactivité

  • 56
  • 3
  • 2
  • 2
  • 2
Rat, Souris

Hôte

  • 57
  • 2
Lapin

Clonalité

  • 57
  • 2
Polyclonal

Conjugué

  • 31
  • 7
  • 3
  • 3
  • 3
  • 3
  • 3
  • 1
  • 1
  • 1
  • 1
  • 1
  • 1
Cet anticorp Urotensin 2 est non-conjugé

Application

  • 21
  • 16
  • 15
  • 3
  • 3
  • 2
  • 2
  • 2
  • 1
  • 1
  • 1
Immunohistochemistry (IHC), Immunofluorescence (IF)
  •  Réactivité croisée

    Rat

    Purification

    Affinity purification

    Immunogène

    Recombinant protein corresponding to Mouse Urotensin II
  • Indications d'application

    IHC/IF (M,R) 1:1000-1:4000/1:2000-1:4000

    Restrictions

    For Research Use only
  • Format

    Liquid

    Buffer

    PBS, pH 7.4, 0.02 % sodium azide

    Agent conservateur

    Sodium azide

    Précaution d'utilisation

    This product contains Sodium azide: a POISONOUS AND HAZARDOUS SUBSTANCE which should be handled by trained staff only.

    Stock

    -20 °C
  • Antigène

    Urotensin 2 (UTS2)

    Autre désignation

    Urotensin II

    Sujet

    This gene encodes a mature peptide that is an active cyclic heptapeptide absolutely conserved from lamprey to human. The active peptide acts as a vasoconstrictor and is expressed only in brain tissue. Despite the gene family name similarity, this gene is not homologous to urocortin, a member of the sauvagine/corticotropin-releasing factor/urotensin I family.

    ID gène

    24111

    NCBI Accession

    NP_036040

    UniProt

    Q9QZQ3

    Pathways

    Negative Regulation of Hormone Secretion
Vous êtes ici:
Chat with us!