CDC37 anticorps (AA 291-378)
Aperçu rapide pour CDC37 anticorps (AA 291-378) (ABIN706481)
Antigène
Voir toutes CDC37 AnticorpsReactivité
Hôte
Clonalité
Conjugué
Application
-
-
Épitope
- AA 291-378
-
Réactivité croisée
- Humain, Souris, Rat
-
Homologie
- Dog,Cow,Pig
-
Purification
- Purified by Protein A.
-
Immunogène
- KLH conjugated synthetic peptide derived from human CDC37
-
Isotype
- IgG
-
-
-
-
Indications d'application
-
ELISA 1:500-1000
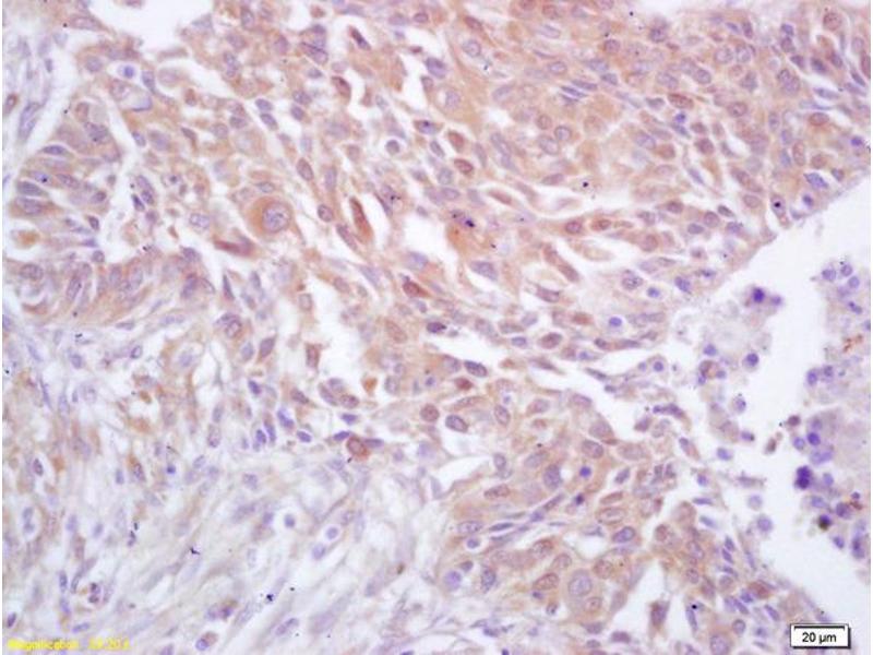
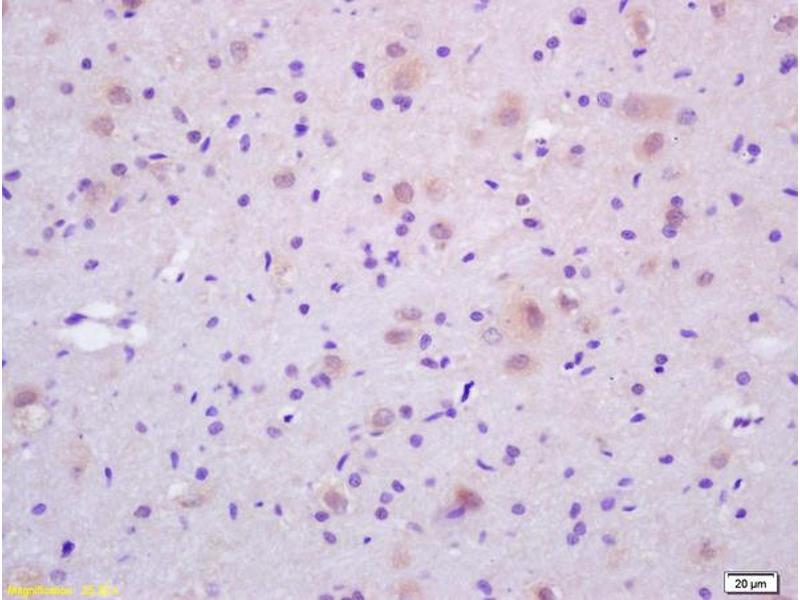
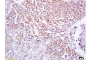
IHC-P 1:200-400
IHC-F 1:100-500
IF(IHC-P) 1:50-200
IF(IHC-F) 1:50-200
IF(ICC) 1:50-200 -
Restrictions
- For Research Use only
-
-
-
Format
- Liquid
-
Concentration
- 1 μg/μL
-
Buffer
- 0.01M TBS( pH 7.4) with 1 % BSA, 0.02 % Proclin300 and 50 % Glycerol.
-
Agent conservateur
- ProClin
-
Précaution d'utilisation
- This product contains ProClin: a POISONOUS AND HAZARDOUS SUBSTANCE, which should be handled by trained staff only.
-
Stock
- 4 °C,-20 °C
-
Stockage commentaire
- Shipped at 4°C. Store at -20°C for one year. Avoid repeated freeze/thaw cycles.
-
Date de péremption
- 12 months
-
-
- CDC37 (Cell Division Cycle 37 Homolog (S. Cerevisiae) (CDC37))
-
Autre désignation
- CDC37
-
Sujet
-
Synonyms: P50CDC37, Hsp90 co-chaperone Cdc37, Hsp90 chaperone protein kinase-targeting subunit, CDC37, CDC37A
Background: Co-chaperone that binds to numerous kinases and promotes their interaction with the Hsp90 complex, resulting in stabilization and promotion of their activity.
-
ID gène
- 11140
-
UniProt
- Q16543
Antigène
-