Tel:
+49 (0)241 95 163 153
Fax:
+49 (0)241 95 163 155
E-Mail:
orders@anticorps-enligne.fr

Recombinant OLIG2 anticorps (AA 200-300)

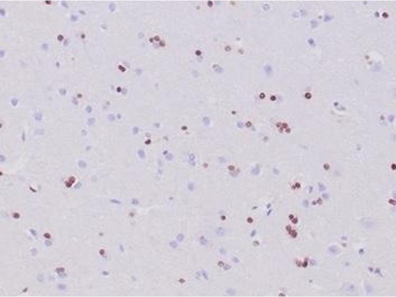
Cet anticorps Lapin Monoclonal détecte spécifiquement OLIG2 dans IHC (f). Il présente une réactivité avec des échantillons de Humain.
N° du produit ABIN7504157
639,45 €
Plus frais de livraison 40,00 € et TVA
Destination: France
Envoi sous 6 à 10 jours ouvrables

Aperçu rapide pour Recombinant OLIG2 anticorps (AA 200-300) (ABIN7504157)

Antigène

Voir toutes OLIG2 Anticorps
OLIG2 (Oligodendrocyte Lineage Transcription Factor 2 (OLIG2))

Type d'anticorp

Recombinant Antibody

Reactivité

  • 92
  • 54
  • 50
  • 5
  • 3
  • 2
  • 2
  • 2
  • 1
  • 1
Humain

Hôte

  • 83
  • 23
Lapin

Clonalité

  • 63
  • 43
Monoclonal

Conjugué

  • 54
  • 8
  • 5
  • 3
  • 2
  • 2
  • 2
  • 2
  • 2
  • 2
  • 2
  • 1
  • 1
  • 1
  • 1
  • 1
  • 1
  • 1
  • 1
  • 1
  • 1
  • 1
  • 1
  • 1
  • 1
  • 1
  • 1
  • 1
  • 1
  • 1
  • 1
  • 1
  • 1
Cet anticorp OLIG2 est non-conjugé

Application

  • 61
  • 46
  • 35
  • 16
  • 14
  • 13
  • 13
  • 11
  • 10
  • 9
  • 8
  • 4
  • 3
  • 1
  • 1
  • 1
Immunohistochemistry (Formalin-fixed Sections) (IHC (f))
  • Épitope

    • 16
    • 13
    • 9
    • 7
    • 6
    • 4
    • 4
    • 3
    • 2
    • 2
    • 2
    • 2
    • 2
    • 2
    • 2
    • 1
    • 1
    • 1
    • 1
    • 1
    • 1
    • 1
    AA 200-300

    Specificité

    Olig2, a basic helix loop helix transcription factor, is involved in oligo-dendroglial specification. Olig2 expression has been reported in most glial tumors, such as oligodendrogliomas and astrocytomas. Although more than half of glioblastomas are positive for Olig2, expression is very weak in terms of both percentage of labeled cells and intensity. No Olig2 expression has been found in the non-glial tumors including neuroepithelial tumors, ependymomas, sub-ependymomas, medulloblastomas, and non-neuroepithelial tumors, such as CNS lymphomas, meningiomas, schwannomas, atypical teratoid/rhabdoid tumor, and haemangioblastomas. Compared to the strong staining seen in glioma samples, a weak expression is observed in non-tumoral brain tissue.

    Réactivité croisée (Details)

    Human.

    Purification

    200ug/ml of Ab purified from Bioreactor Concentrate by Protein A/G.

    Immunogène

    Recombinant fragment (around aa200-300) of human OLIG2 protein (exact sequence is proprietary)

    Isotype

    IgG
  • Indications d'application

    Positive Control: THP-1 cells. Human brain or astrocytoma.

    Known Application: Immunohistochemistry (Formalin-fixed) (1-2 μg/mL for 30 minutes at RT),(Staining of formalin-fixed tissues requires heating tissue sections in 10 mM Tris with 1 mM EDTA, pH 9.0, for 45 min at 95 °C followed by cooling at RT for 20 minutes),Optimal dilution for a specific application should be determined.

    Restrictions

    For Research Use only
  • Concentration

    200 μg/mL

    Buffer

    Prepared in 10 mM PBS with 0.05 % BSA and 0.05 % azide.

    Agent conservateur

    Sodium azide

    Précaution d'utilisation

    This product contains Sodium azide: a POISONOUS AND HAZARDOUS SUBSTANCE which should be handled by trained staff only.

    Stock

    4 °C,-80 °C

    Stockage commentaire

    Antibody with azide - store at 2 to 8 °C. Antibody is stable for 24 months. Non-hazardous. Also available WITHOUT BSA & azide at 1.0mg/ml.

    Date de péremption

    24 months
  • Antigène

    OLIG2 (Oligodendrocyte Lineage Transcription Factor 2 (OLIG2))

    Autre désignation

    OLIG2

    Sujet

    Basic helix loop helix protein class B1 (bHLHB1), basic helix-loop-helix protein 19 (bHLHe19), OLIG2, Oligodendrocyte lineage transcription factor 2, Oligodendrocyte specific bHLH transcription factor 2, Oligodendrocyte transcription factor 2, Protein kinase C-binding protein 2 (PRKCBP2), RACK17,OLIG2 (Marker of Glial Brain Tumors)
    Cellular localisation: Nucleus. Cytoplasm.

    Poids moléculaire

    32kDa

    ID gène

    10215, 176977

    UniProt

    Q13516
Vous êtes ici:
Chat with us!