Recombinant CDC5L anticorps
Aperçu rapide pour Recombinant CDC5L anticorps (ABIN7127416)
Antigène
Voir toutes CDC5L AnticorpsType d'anticorp
Reactivité
Hôte
Clonalité
Conjugué
Application
Clone
-
-
Fonction
- CDC5L Recombinant Monoclonal Antibody
-
Purification
- Affinity-chromatography
-
Immunogène
- A synthesized peptide derived from human CDC5L
-
Isotype
- IgG
-
-
-
-
Indications d'application
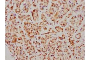
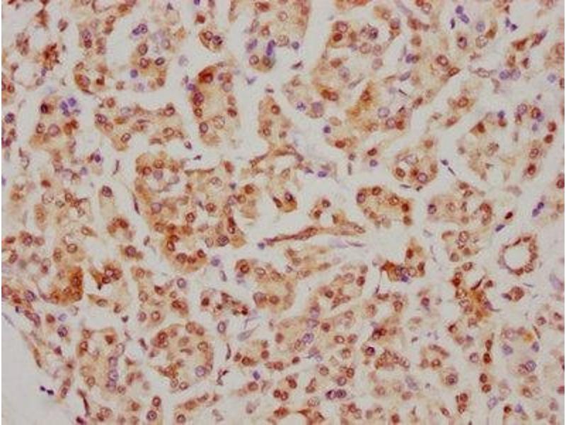
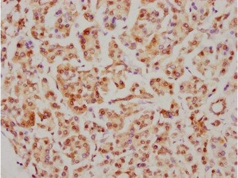
- WB:1:500-1:5000, IHC:1:50-1:200, IF:1:20-1:200, IP:1:200-1:1000
-
Restrictions
- For Research Use only
-
-
-
Format
- Liquid
-
Buffer
- phosphate buffered saline , pH 7.4, 150 mM NaCl, 0.02 % sodium azide and 50 % glycerol.
-
Agent conservateur
- Sodium azide
-
Précaution d'utilisation
- This product contains Sodium azide: a POISONOUS AND HAZARDOUS SUBSTANCE which should be handled by trained staff only.
-
Stock
- -20 °C,-80 °C
-
Stockage commentaire
- Upon receipt, store at -20°C or -80°C. Avoid repeated freeze.
-
-
- CDC5L (CDC5 Cell Division Cycle 5-Like (S. Pombe) (CDC5L))
-
Autre désignation
- CDC5L
-
Sujet
-
Background: DNA-binding protein involved in cell cycle control. May act as a transcription activator. Component of the PRP19-CDC5L complex that forms an integral part of the spliceosome and is required for activating pre-mRNA splicing. The PRP19-CDC5L complex may also play a role in the response to DNA damage (DDR).
Aliases: Cell division cycle 5-like protein, Cdc5-like protein, Pombe cdc5-related protein, CDC5L, KIAA0432, PCDC5RP
-
UniProt
- Q99459
-
Pathways
- Activation of Innate immune Response, Chromatin Binding
Antigène
-