Recombinant TACC3 anticorps
Aperçu rapide pour Recombinant TACC3 anticorps (ABIN7127834)
Antigène
Voir toutes TACC3 AnticorpsType d'anticorp
Reactivité
Hôte
Clonalité
Conjugué
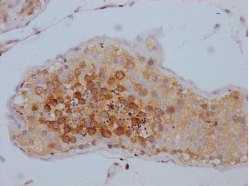
Application
Clone
-
-
Fonction
- TACC3 Recombinant Monoclonal Antibody
-
Purification
- Affinity-chromatography
-
Immunogène
- A synthesized peptide derived from human TACC3
-
Isotype
- IgG
-
-
-
-
Indications d'application
- WB:1:500-1:5000, IHC:1:50-1:200
-
Restrictions
- For Research Use only
-
-
-
Format
- Liquid
-
Buffer
- phosphate buffered saline, pH 7.4, 150 mM NaCl, 0.02 % sodium azide and 50 % glycerol.
-
Agent conservateur
- Sodium azide
-
Précaution d'utilisation
- This product contains Sodium azide: a POISONOUS AND HAZARDOUS SUBSTANCE which should be handled by trained staff only.
-
Stock
- -20 °C,-80 °C
-
Stockage commentaire
- Upon receipt, store at -20°C or -80°C. Avoid repeated freeze.
-
-
- TACC3 (Transforming, Acidic Coiled-Coil Containing Protein 3 (TACC3))
-
Autre désignation
- TACC3
-
Sujet
-
Background: Plays a role in the microtubule-dependent coupling of the nucleus and the centrosome. Involved in the processes that regulate centrosome-mediated interkinetic nuclear migration (INM) of neural progenitors (By similarity). Acts as component of the TACC3/ch-TOG/clathrin complex proposed to contribute to stabilization of kinetochore fibers of the mitotic spindle by acting as inter-microtubule bridge. The TACC3/ch-TOG/clathrin complex is required for the maintenance of kinetochore fiber tension (PubMed:21297582, PubMed:23532825). May be involved in the control of cell growth and differentiation. May contribute to cancer (PubMed:14767476).
Aliases: Transforming acidic coiled-coil-containing protein 3 (ERIC-1), TACC3, ERIC1
-
UniProt
- Q9Y6A5
-
Pathways
- Maintenance of Protein Location
Antigène
-