Recombinant TSPO anticorps
Aperçu rapide pour Recombinant TSPO anticorps (ABIN7127858)
Antigène
Voir toutes TSPO AnticorpsType d'anticorp
Reactivité
Hôte
Clonalité
Conjugué
Application
Clone
-
-
Fonction
- TSPO Recombinant Monoclonal Antibody
-
Réactivité croisée
- Souris
-
Purification
- Affinity-chromatography
-
Immunogène
- A synthesized peptide derived from human TSPO
-
Isotype
- IgG
-
-
-
-
Indications d'application
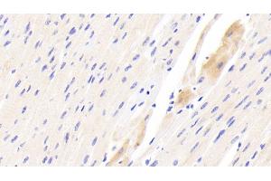
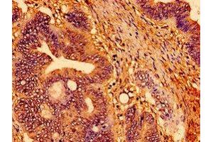
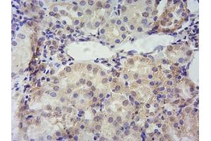
- WB:1:500-1:5000, IHC:1:50-1:200, IF:1:20-1:200, IP:1:200-1:1000
-
Restrictions
- For Research Use only
-
-
-
Format
- Liquid
-
Buffer
- phosphate buffered saline , pH 7.4, 150 mM NaCl, 0.02 % sodium azide and 50 % glycerol.
-
Agent conservateur
- Sodium azide
-
Précaution d'utilisation
- This product contains Sodium azide: a POISONOUS AND HAZARDOUS SUBSTANCE which should be handled by trained staff only.
-
Stock
- -20 °C,-80 °C
-
Stockage commentaire
- Upon receipt, store at -20°C or -80°C. Avoid repeated freeze.
-
-
- TSPO (Peripheral-Type Benzodiazepine Receptor (TSPO))
-
Autre désignation
- TSPO
-
Sujet
-
Background: Can bind protoporphyrin IX and may play a role in the transport of porphyrins and heme (By similarity). Promotes the transport of cholesterol across mitochondrial membranes and may play a role in lipid metabolism (PubMed:24814875), but its precise physiological role is controversial. It is apparently not required for steroid hormone biosynthesis. Was initially identified as peripheral-type benzodiazepine receptor, can also bind isoquinoline carboxamides (PubMed:1847678).
Aliases: Translocator protein, Mitochondrial benzodiazepine receptor, PKBS, Peripheral-type benzodiazepine receptor, PBR, TSPO, BZRP, MBR
-
UniProt
- P30536
-
Pathways
- Cellular Response to Molecule of Bacterial Origin
Antigène
-