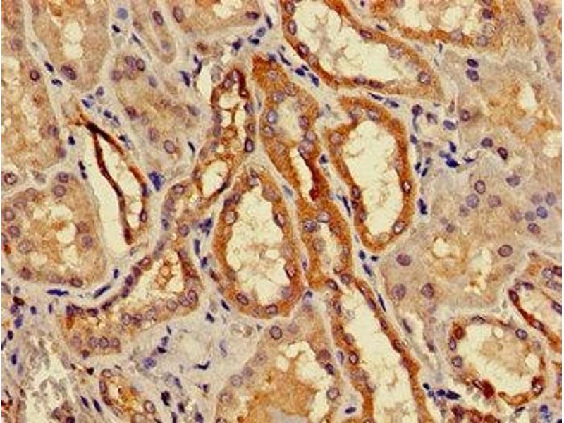
ACMSD anticorps (AA 33-129)
Aperçu rapide pour ACMSD anticorps (AA 33-129) (ABIN7142142)
Antigène
Voir toutes ACMSD AnticorpsReactivité
Hôte
Clonalité
Conjugué
Application
-
-
Épitope
- AA 33-129
-
Fonction
- ACMSD Antibody
-
Réactivité croisée
- Rat
-
Purification
- Protein G purified
-
Pureté
- >95 %
-
Immunogène
- Recombinant Human 2-amino-3-carboxymuconate-6-semialdehyde decarboxylase protein (33-129AA)
-
Isotype
- IgG
-
-
-
-
Indications d'application
- Optimal working dilution should be determined by the investigator.
-
Restrictions
- For Research Use only
-
-
-
Format
- Liquid
-
Buffer
-
Preservative: 0.03 % Proclin 300
Constituents: 50 % Glycerol, 0.01M PBS, pH 7.4 -
Agent conservateur
- ProClin
-
Précaution d'utilisation
- This product contains ProClin: a POISONOUS AND HAZARDOUS SUBSTANCE which should be handled by trained staff only.
-
Stock
- -20 °C,-80 °C
-
Stockage commentaire
- Upon receipt, store at -20°C or -80°C. Avoid repeated freeze.
-
-
- ACMSD (Aminocarboxymuconate Semialdehyde Decarboxylase (ACMSD))
-
Autre désignation
- ACMSD
-
Sujet
-
Background: Converts alpha-amino-beta-carboxymuconate-epsilon-semialdehyde (ACMS) to alpha-aminomuconate semialdehyde (AMS). ACMS can be converted non-enzymatically to quinolate (QA), a key precursor of NAD, and a potent endogenous excitotoxin of neuronal cells which is implicated in the pathogenesis of various neurodegenerative disorders. In the presence of ACMSD, ACMS is converted to AMS, a benign catabolite. ACMSD ultimately controls the metabolic fate of tryptophan catabolism along the kynurenine pathway.
Aliases: 2 amino 3 carboxymuconate 6 semialdehyde decarboxylase antibody, 2-amino-3-carboxymuconate-6-semialdehyde decarboxylase antibody, acmsd antibody, ACMSD_HUMAN antibody, Aminocarboxymuconate semialdehyde decarboxylase antibody, Picolinate carboxylase antibody
-
UniProt
- Q8TDX5
Antigène
-