Tel:
+49 (0)241 95 163 153
Fax:
+49 (0)241 95 163 155
E-Mail:
orders@anticorps-enligne.fr

26S Proteasome Complex Subunit SEM1 (SEM1) (AA 1-70) anticorps

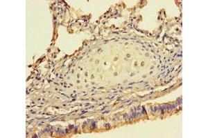
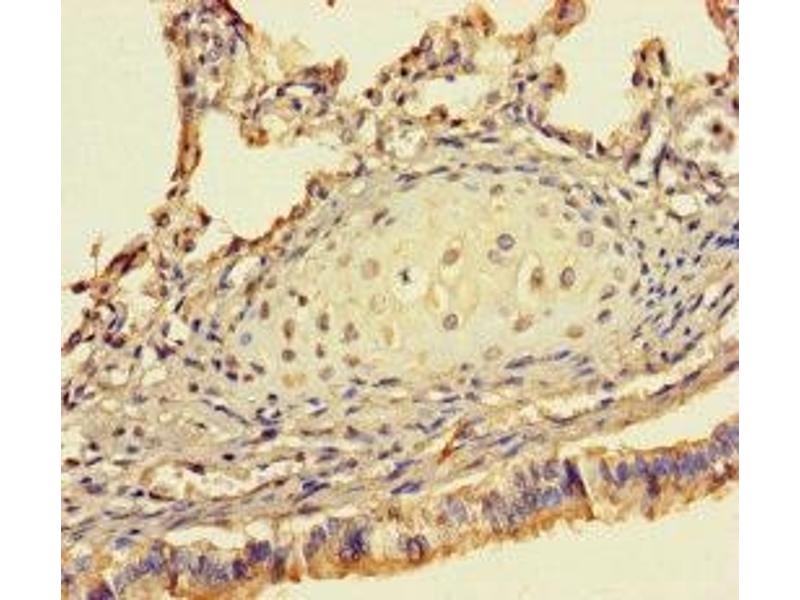
Cet anticorps anti-26S Proteasome Complex Subunit SEM1 Polyclonal Lapin (ABIN7142194) détecte spécifiquement 26S Proteasome Complex Subunit SEM1 dans ELISA et IHC. L’anticorps est réactif avec des échantillons de Humain.
N° du produit ABIN7142194
328,90 €
Plus frais de livraison 40,00 € et TVA
Destination: France
Envoi sous 11 à 15 jours ouvrables

Aperçu rapide pour 26S Proteasome Complex Subunit SEM1 (SEM1) (AA 1-70) anticorps (ABIN7142194)

Antigène

26S Proteasome Complex Subunit SEM1 (SEM1)

Reactivité

Humain

Hôte

  • 4
Lapin

Clonalité

  • 4
Polyclonal

Conjugué

  • 1
  • 1
  • 1
  • 1
Inconjugué

Application

  • 3
  • 1
  • 1
ELISA, Immunohistochemistry (IHC)
  • Épitope

    AA 1-70

    Fonction

    SEM1 Antibody

    Purification

    Protein G purified

    Pureté

    >95 %

    Immunogène

    Recombinant Human 26S proteasome complex subunit SEM1 protein (1-70AA)

    Isotype

    IgG
  • Indications d'application

    Optimal working dilution should be determined by the investigator.

    Restrictions

    For Research Use only
  • Format

    Liquid

    Buffer

    Preservative: 0.03 % Proclin 300
    Constituents: 50 % Glycerol, 0.01M PBS, PH 7.4

    Agent conservateur

    ProClin

    Précaution d'utilisation

    This product contains ProClin: a POISONOUS AND HAZARDOUS SUBSTANCE which should be handled by trained staff only.

    Stock

    -20 °C,-80 °C

    Stockage commentaire

    Upon receipt, store at -20°C or -80°C. Avoid repeated freeze.
  • Antigène

    26S Proteasome Complex Subunit SEM1 (SEM1)

    Autre désignation

    SEM1

    Sujet

    Background: Component of the 26S proteasome, a multiprotein complex involved in the ATP-dependent degradation of ubiquitinated proteins. This complex plays a key role in the maintenance of protein homeostasis by removing misfolded or damaged proteins, which could impair cellular functions, and by removing proteins whose functions are no longer required. Therefore, the proteasome participates in numerous cellular processes, including cell cycle progression, apoptosis, or DNA damage repair (PubMed:15117943). Component of the TREX-2 complex (transcription and export complex 2), composed of at least ENY2, GANP, PCID2, SEM1, and either centrin CETN2 or CETN3 (PubMed:22307388). The TREX-2 complex functions in docking export-competent ribonucleoprotein particles (mRNPs) to the nuclear entrance of the nuclear pore complex (nuclear basket). TREX-2 participates in mRNA export and accurate chromatin positioning in the nucleus by tethering genes to the nuclear periphery. Binds and stabilizes BRCA2 and is thus involved in the control of R-loop-associated DNA damage and thus transcription-associated genomic instability. R-loop accumulation increases in SEM1-depleted cells.

    Aliases: SEM1 antibody, C7orf76 antibody, DSS1 antibody, SHFDG1 antibody, SHFM1 antibody, 26S proteasome complex subunit SEM1 antibody, 26S proteasome complex subunit DSS1 antibody, Deleted in split hand/split foot protein 1 antibody, Split hand/foot deleted protein 1 antibody, Split hand/foot malformation type 1 protein antibody

    UniProt

    P60896
Vous êtes ici:
Chat with us!