Tel:
+49 (0)241 95 163 153
Fax:
+49 (0)241 95 163 155
E-Mail:
orders@anticorps-enligne.fr

MRPS10 anticorps (AA 1-201)

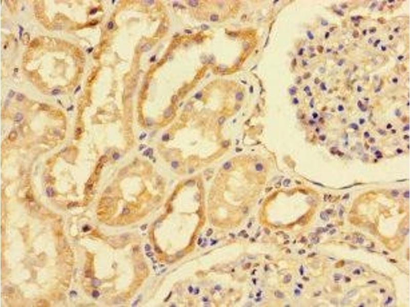
Cet anticorps anti-MRPS10 Polyclonal Lapin (ABIN7142242) détecte spécifiquement MRPS10 dans ELISA et IHC. L’anticorps est réactif avec des échantillons de Humain.
N° du produit ABIN7142242
328,90 €
Plus frais de livraison 40,00 € et TVA
Destination: France
Envoi sous 11 à 15 jours ouvrables

Aperçu rapide pour MRPS10 anticorps (AA 1-201) (ABIN7142242)

Antigène

Voir toutes MRPS10 Anticorps
MRPS10 (Mitochondrial Ribosomal Protein S10 (MRPS10))

Reactivité

  • 21
  • 2
  • 2
  • 1
Humain

Hôte

  • 20
  • 2
Lapin

Clonalité

  • 22
Polyclonal

Conjugué

  • 11
  • 3
  • 3
  • 3
  • 1
  • 1
Cet anticorp MRPS10 est non-conjugé

Application

  • 16
  • 15
  • 1
  • 1
  • 1
  • 1
ELISA, Immunohistochemistry (IHC)
  • Épitope

    • 8
    • 7
    • 1
    • 1
    • 1
    • 1
    • 1
    • 1
    AA 1-201

    Fonction

    MRPS10 Antibody

    Purification

    Protein G purified

    Pureté

    >95 %

    Immunogène

    Recombinant Human 28S ribosomal protein S10, mitochondrial protein (1-201AA)

    Isotype

    IgG
  • Indications d'application

    Optimal working dilution should be determined by the investigator.

    Restrictions

    For Research Use only
  • Format

    Liquid

    Buffer

    Preservative: 0.03 % Proclin 300
    Constituents: 50 % Glycerol, 0.01M PBS, PH 7.4

    Agent conservateur

    ProClin

    Précaution d'utilisation

    This product contains ProClin: a POISONOUS AND HAZARDOUS SUBSTANCE which should be handled by trained staff only.

    Stock

    -20 °C,-80 °C

    Stockage commentaire

    Upon receipt, store at -20°C or -80°C. Avoid repeated freeze.
  • Antigène

    MRPS10 (Mitochondrial Ribosomal Protein S10 (MRPS10))

    Autre désignation

    MRPS10

    Sujet

    Background: mitochondrial inner membrane, mitochondrion, mitochondrial translation, mitochondrial translational elongation, mitochondrial translational initiation, mitochondrial translational termination, mitophagy in response to mitochondrial depolarization, organelle organization, positive regulation of defense response to virus by host, xenophagy

    Aliases: MRPS10 antibody, MSTP04028S ribosomal protein S10 antibody, mitochondrial antibody, MRP-S10 antibody, S10mt antibody, Mitochondrial small ribosomal subunit protein uS10m antibody

    UniProt

    P82664
Vous êtes ici:
Chat with us!