Tel:
+49 (0)241 95 163 153
Fax:
+49 (0)241 95 163 155
E-Mail:
orders@anticorps-enligne.fr

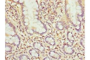
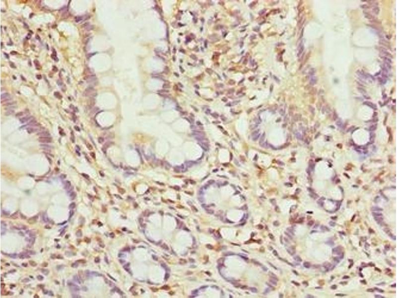
MRPL51 anticorps (AA 32-128)

L’anticorps anti-MRPL51 Polyclonal Lapin est utilisé pour la détection de MRPL51 dans des échantillons de Humain. Il a été validé pour ELISA, WB et IHC.
N° du produit ABIN7142439
328,90 €
Plus frais de livraison 40,00 € et TVA
Destination: France
Envoi sous 11 à 15 jours ouvrables

Aperçu rapide pour MRPL51 anticorps (AA 32-128) (ABIN7142439)

Antigène

Voir toutes MRPL51 Anticorps
MRPL51 (Mitochondrial Ribosomal Protein L51 (MRPL51))

Reactivité

  • 28
  • 23
  • 2
  • 1
Humain

Hôte

  • 27
  • 2
Lapin

Clonalité

  • 27
  • 2
Polyclonal

Conjugué

  • 13
  • 3
  • 3
  • 2
  • 1
  • 1
  • 1
  • 1
  • 1
  • 1
  • 1
  • 1
Cet anticorp MRPL51 est non-conjugé

Application

  • 16
  • 15
  • 6
  • 3
  • 1
  • 1
  • 1
ELISA, Western Blotting (WB), Immunohistochemistry (IHC)
  • Épitope

    • 8
    • 4
    • 3
    • 1
    • 1
    • 1
    • 1
    • 1
    • 1
    • 1
    • 1
    AA 32-128

    Fonction

    MRPL51 Antibody

    Purification

    Protein G purified

    Pureté

    >95 %

    Immunogène

    Recombinant Human 39S ribosomal protein L51, mitochondrial protein (32-128AA)

    Isotype

    IgG
  • Indications d'application

    Optimal working dilution should be determined by the investigator.

    Restrictions

    For Research Use only
  • Format

    Liquid

    Buffer

    Preservative: 0.03 % Proclin 300
    Constituents: 50 % Glycerol, 0.01M PBS, PH 7.4

    Agent conservateur

    ProClin

    Précaution d'utilisation

    This product contains ProClin: a POISONOUS AND HAZARDOUS SUBSTANCE which should be handled by trained staff only.

    Stock

    -20 °C,-80 °C

    Stockage commentaire

    Upon receipt, store at -20°C or -80°C. Avoid repeated freeze.
  • Antigène

    MRPL51 (Mitochondrial Ribosomal Protein L51 (MRPL51))

    Autre désignation

    MRPL51

    Sujet

    Background: mitochondrial inner membrane, mitochondrial large ribosomal subunit, mitochondrial ribosome, structural constituent of ribosome, mitochondrial translation, mitochondrial translational elongation, mitochondrial translational initiation, mitochondrial translational termination, organelle organization, translation

    Aliases: 39S ribosomal protein L51 antibody, 39S ribosomal protein L51 mitochondrial antibody, bMRP-64 antibody, bMRP64 antibody, CDA09 antibody, HSPC241 antibody, L51mt antibody, mitochondrial antibody, mitochondrial ribosomal protein 64 antibody, mitochondrial ribosomal protein bMRP64 antibody, mitochondrial ribosomal protein L51 antibody, MRP-L51 antibody, MRP64 antibody, mrpl51 antibody, RM51_HUMAN antibody

    UniProt

    Q4U2R6
Vous êtes ici:
Chat with us!