Tel:
+49 (0)241 95 163 153
Fax:
+49 (0)241 95 163 155
E-Mail:
orders@anticorps-enligne.fr

RPL12 anticorps (AA 1-99)

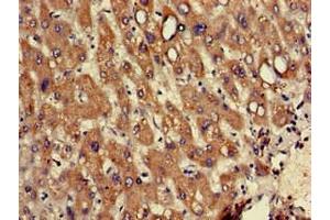
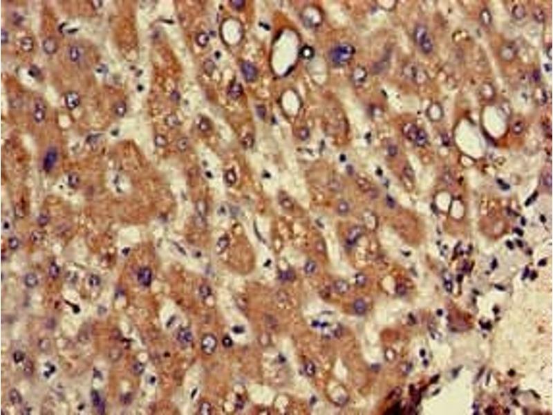
Cet anticorps anti-RPL12 Polyclonal Lapin (ABIN7142740) détecte spécifiquement RPL12 dans ELISA et IHC. L’anticorps est réactif avec des échantillons de Humain.
N° du produit ABIN7142740
328,90 €
Plus frais de livraison 40,00 € et TVA
Destination: France
Envoi sous 11 à 15 jours ouvrables

Aperçu rapide pour RPL12 anticorps (AA 1-99) (ABIN7142740)

Antigène

Voir toutes RPL12 Anticorps
RPL12 (Ribosomal Protein L12 (RPL12))

Reactivité

  • 34
  • 19
  • 10
  • 4
  • 4
  • 3
  • 3
  • 2
  • 2
  • 2
  • 2
  • 1
  • 1
  • 1
  • 1
Humain

Hôte

  • 34
Lapin

Clonalité

  • 34
Polyclonal

Conjugué

  • 18
  • 3
  • 3
  • 2
  • 1
  • 1
  • 1
  • 1
  • 1
  • 1
  • 1
  • 1
Cet anticorp RPL12 est non-conjugé

Application

  • 23
  • 16
  • 4
  • 3
  • 1
  • 1
  • 1
ELISA, Immunohistochemistry (IHC)
  • Épitope

    • 8
    • 4
    • 3
    • 2
    • 2
    • 2
    • 2
    • 1
    • 1
    • 1
    • 1
    • 1
    • 1
    AA 1-99

    Fonction

    RPL12 Antibody

    Purification

    Protein G purified

    Pureté

    >95 %

    Immunogène

    Recombinant Human 60S ribosomal protein L12 protein (1-99AA)

    Isotype

    IgG
  • Indications d'application

    Optimal working dilution should be determined by the investigator.

    Restrictions

    For Research Use only
  • Format

    Liquid

    Buffer

    Preservative: 0.03 % Proclin 300
    Constituents: 50 % Glycerol, 0.01M PBS, pH 7.4

    Agent conservateur

    ProClin

    Précaution d'utilisation

    This product contains ProClin: a POISONOUS AND HAZARDOUS SUBSTANCE which should be handled by trained staff only.

    Stock

    -20 °C,-80 °C

    Stockage commentaire

    Upon receipt, store at -20°C or -80°C. Avoid repeated freeze.
  • Antigène

    RPL12 (Ribosomal Protein L12 (RPL12))

    Autre désignation

    RPL12

    Sujet

    Background: Binds directly to 26S ribosomal RNA.

    Aliases: 60S ribosomal protein L12 antibody, L12 antibody, Ribosomal protein L12 antibody, RL12_HUMAN antibody, rpl12 antibody

    UniProt

    P30050
Vous êtes ici:
Chat with us!