Tel:
+49 (0)241 95 163 153
Fax:
+49 (0)241 95 163 155
E-Mail:
orders@anticorps-enligne.fr

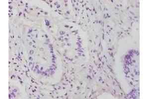
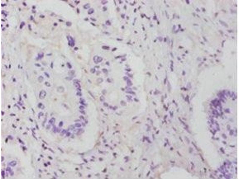
RPL14 anticorps (AA 2-214)

L’anticorps anti-RPL14 Polyclonal Lapin est utilisé pour la détection de RPL14 dans des échantillons de Humain. Il a été validé pour ELISA et IHC.
N° du produit ABIN7142748
328,90 €
Plus frais de livraison 40,00 € et TVA
Destination: France
Envoi sous 11 à 15 jours ouvrables

Aperçu rapide pour RPL14 anticorps (AA 2-214) (ABIN7142748)

Antigène

Voir toutes RPL14 Anticorps
RPL14 (Ribosomal Protein L14 (RPL14))

Reactivité

  • 39
  • 11
  • 11
  • 2
  • 2
  • 1
  • 1
  • 1
  • 1
Humain

Hôte

  • 35
  • 4
Lapin

Clonalité

  • 36
  • 3
Polyclonal

Conjugué

  • 26
  • 3
  • 2
  • 2
  • 1
  • 1
  • 1
  • 1
  • 1
  • 1
Cet anticorp RPL14 est non-conjugé

Application

  • 29
  • 18
  • 8
  • 7
  • 4
  • 2
  • 2
  • 1
ELISA, Immunohistochemistry (IHC)
  • Épitope

    • 4
    • 3
    • 2
    • 2
    • 2
    • 1
    • 1
    • 1
    • 1
    • 1
    • 1
    • 1
    • 1
    • 1
    • 1
    • 1
    AA 2-214

    Fonction

    RPL14 Antibody

    Purification

    Protein G purified

    Pureté

    >95 %

    Immunogène

    Recombinant Human 60S ribosomal protein L14 protein (2-214AA)

    Isotype

    IgG
  • Indications d'application

    Optimal working dilution should be determined by the investigator.

    Restrictions

    For Research Use only
  • Format

    Liquid

    Buffer

    Preservative: 0.03 % Proclin 300
    Constituents: 50 % Glycerol, 0.01M PBS, PH 7.4

    Agent conservateur

    ProClin

    Précaution d'utilisation

    This product contains ProClin: a POISONOUS AND HAZARDOUS SUBSTANCE which should be handled by trained staff only.

    Stock

    -20 °C,-80 °C

    Stockage commentaire

    Upon receipt, store at -20°C or -80°C. Avoid repeated freeze.
  • Antigène

    RPL14 (Ribosomal Protein L14 (RPL14))

    Autre désignation

    RPL14

    Sujet

    Background: Ribosomes, the organelles that catalyze protein synthesis, consist of a small 40S subunit and a large 60S subunit.Together these subunits are composed of 4 RNA species and approximately 80 structurally distinct proteins.

    Aliases: 3100001N19Rik antibody, 60S ribosomal protein L14 antibody, AA407502 antibody, AL022816 antibody, CAG ISL 7 antibody, CAG-ISL 7 antibody, CTG B33 antibody, hRL 14 antibody, hRL14 antibody, L14 antibody, MGC88594 antibody, Ribosomal protein L14 antibody, RL 14 antibody, RL14 antibody, RL14_HUMAN antibody, RP L14 antibody, RPL 14 antibody, rpl14 antibody

    UniProt

    P50914
Vous êtes ici:
Chat with us!