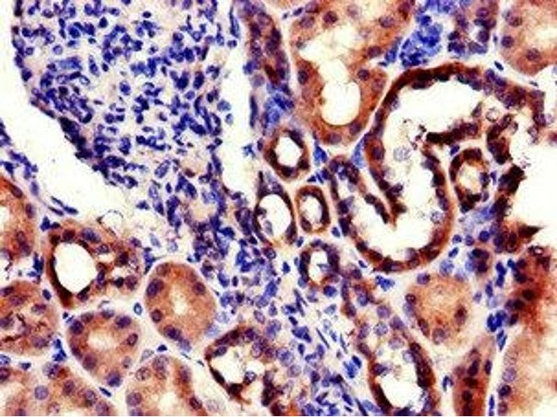
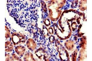
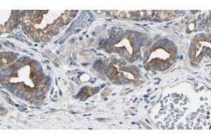
RPL22/L1 anticorps (AA 1-122)
Aperçu rapide pour RPL22/L1 anticorps (AA 1-122) (ABIN7142768)
Antigène
Reactivité
Hôte
Clonalité
Conjugué
Application
-
-
Épitope
- AA 1-122
-
Fonction
- RPL22L1 Antibody
-
Purification
- Protein G purified
-
Pureté
- >95 %
-
Immunogène
- Recombinant Human 60S ribosomal protein L22-like 1 protein (1-122AA)
-
Isotype
- IgG
-
-
-
-
Indications d'application
- Optimal working dilution should be determined by the investigator.
-
Restrictions
- For Research Use only
-
-
-
Format
- Liquid
-
Buffer
-
Preservative: 0.03 % Proclin 300
Constituents: 50 % Glycerol, 0.01M PBS, PH 7.4 -
Agent conservateur
- ProClin
-
Précaution d'utilisation
- This product contains ProClin: a POISONOUS AND HAZARDOUS SUBSTANCE which should be handled by trained staff only.
-
Stock
- -20 °C,-80 °C
-
Stockage commentaire
- Upon receipt, store at -20°C or -80°C. Avoid repeated freeze.
-
-
- RPL22/L1 (RPL22L1) (Ribosomal Protein L22-Like 1 (RPL22L1))
-
Autre désignation
- RPL22L1
-
Sujet
-
Background: cytosolic large ribosomal subunit, structural constituent of ribosome, cytoplasmic translation
Aliases: 60S ribosomal protein L22-like 1 antibody, RL22L_HUMAN antibody, rpl22l1 antibody
-
UniProt
- Q6P5R6
Antigène
-