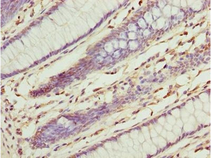
ILVBL anticorps (AA 45-344)
Aperçu rapide pour ILVBL anticorps (AA 45-344) (ABIN7142940)
Antigène
Voir toutes ILVBL AnticorpsReactivité
Hôte
Clonalité
Conjugué
Application
-
-
Épitope
- AA 45-344
-
Fonction
- ILVBL Antibody
-
Purification
- Protein G purified
-
Pureté
- >95 %
-
Immunogène
- Recombinant Human Acetolactate synthase-like protein (45-344AA)
-
Isotype
- IgG
-
-
-
-
Indications d'application
- Optimal working dilution should be determined by the investigator.
-
Restrictions
- For Research Use only
-
-
-
Format
- Liquid
-
Buffer
-
Preservative: 0.03 % Proclin 300
Constituents: 50 % Glycerol, 0.01M PBS, PH 7.4 -
Agent conservateur
- ProClin
-
Précaution d'utilisation
- This product contains ProClin: a POISONOUS AND HAZARDOUS SUBSTANCE which should be handled by trained staff only.
-
Stock
- -20 °C,-80 °C
-
Stockage commentaire
- Upon receipt, store at -20°C or -80°C. Avoid repeated freeze.
-
-
- ILVBL (IlvB (Bacterial Acetolactate Synthase)-Like (ILVBL))
-
Autre désignation
- ILVBL
-
Sujet
-
Background: membrane
Aliases: 209L8 antibody, Acetolactate synthase homolog antibody, Acetolactate synthase like protein antibody, acetolactate synthase, bacterial, homolog of antibody, Acetolactate synthase-like protein antibody, AHAS antibody, FLJ39061 antibody, ILV2H antibody, IlvB (bacterial acetolactate synthase) like antibody, IlvB like protein antibody, IlvB-like protein antibody, Ilvbl antibody, ILVBL_HUMAN antibody, MGC1269 antibody, MGC19535 antibody
-
UniProt
- A1L0T0
Antigène
-