Tel:
+49 (0)241 95 163 153
Fax:
+49 (0)241 95 163 155
E-Mail:
orders@anticorps-enligne.fr

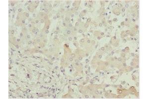
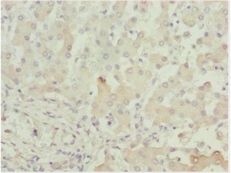
ADPGK anticorps (AA 218-497)

Cet anticorps Lapin Polyclonal détecte spécifiquement ADPGK dans ELISA et IHC. Il présente une réactivité avec des échantillons de Humain.
N° du produit ABIN7143434
328,90 €
Plus frais de livraison 40,00 € et TVA
Destination: France
Envoi sous 11 à 15 jours ouvrables

Aperçu rapide pour ADPGK anticorps (AA 218-497) (ABIN7143434)

Antigène

Voir toutes ADPGK Anticorps
ADPGK (ADP-Dependent Glucokinase (ADPGK))

Reactivité

  • 27
  • 18
  • 18
  • 5
  • 4
  • 4
  • 3
  • 3
  • 3
  • 2
  • 1
Humain

Hôte

  • 24
  • 3
Lapin

Clonalité

  • 25
  • 2
Polyclonal

Conjugué

  • 20
  • 1
  • 1
  • 1
  • 1
  • 1
  • 1
  • 1
Cet anticorp ADPGK est non-conjugé

Application

  • 20
  • 9
  • 7
  • 7
  • 3
  • 2
  • 1
ELISA, Immunohistochemistry (IHC)
  • Épitope

    • 4
    • 2
    • 2
    • 2
    • 1
    • 1
    • 1
    • 1
    • 1
    • 1
    • 1
    • 1
    • 1
    AA 218-497

    Fonction

    ADPGK Antibody

    Purification

    Antigen Affinity Purified

    Immunogène

    Recombinant Human ADP-dependent glucokinase protein (218-497AA)

    Isotype

    IgG
  • Indications d'application

    Optimal working dilution should be determined by the investigator.

    Restrictions

    For Research Use only
  • Format

    Liquid

    Buffer

    PBS with 0.02 % sodium azide, 50 % glycerol, pH 7.3.

    Agent conservateur

    Sodium azide

    Précaution d'utilisation

    This product contains Sodium azide: a POISONOUS AND HAZARDOUS SUBSTANCE which should be handled by trained staff only.

    Stock

    -20 °C,-80 °C

    Stockage commentaire

    Upon receipt, store at -20°C or -80°C. Avoid repeated freeze.
  • Antigène

    ADPGK (ADP-Dependent Glucokinase (ADPGK))

    Autre désignation

    ADPGK

    Sujet

    Background: Catalyzes the phosphorylation of D-glucose to D-glucose 6-phosphate using ADP as the phosphate donor. GDP and CDP can replace ADP, but with reduced efficiency (By similarity).

    Aliases: 2610017G09Rik antibody, ADP dependent glucokinase antibody, ADP GK antibody, ADP-dependent glucokinase antibody, ADP-GK antibody, ADPGK antibody, ADPGK_HUMAN antibody, ATP dependent glucokinase antibody, DKFZP434B195 antibody, RbBP 35 antibody, RbBP-35 antibody

    UniProt

    Q9BRR6
Vous êtes ici:
Chat with us!