Tel:
+49 (0)241 95 163 153
Fax:
+49 (0)241 95 163 155
E-Mail:
orders@anticorps-enligne.fr

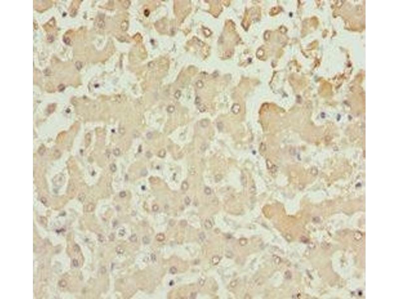
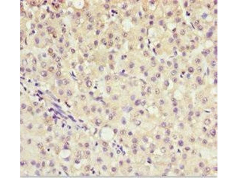
AKR7A2 anticorps (AA 100-359)

Cet anticorps anti-AKR7A2 Polyclonal Lapin (ABIN7143586) détecte spécifiquement AKR7A2 dans WB, IHC et ELISA. L’anticorps est réactif avec des échantillons de Humain.
N° du produit ABIN7143586
328,90 €
Plus frais de livraison 40,00 € et TVA
Destination: France
Envoi sous 11 à 15 jours ouvrables

Aperçu rapide pour AKR7A2 anticorps (AA 100-359) (ABIN7143586)

Antigène

Voir toutes AKR7A2 Anticorps
AKR7A2 (Aflatoxin Beta1 Aldehyde Reductase (AKR7A2))

Reactivité

  • 52
  • 17
  • 12
  • 8
  • 1
  • 1
  • 1
  • 1
  • 1
Humain

Hôte

  • 41
  • 11
Lapin

Clonalité

  • 43
  • 9
Polyclonal

Conjugué

  • 24
  • 3
  • 2
  • 2
  • 2
  • 2
  • 2
  • 2
  • 1
  • 1
  • 1
  • 1
  • 1
  • 1
  • 1
  • 1
  • 1
  • 1
  • 1
  • 1
  • 1
Cet anticorp AKR7A2 est non-conjugé

Application

  • 22
  • 13
  • 13
  • 10
  • 8
  • 5
  • 4
  • 3
  • 3
  • 2
  • 1
  • 1
  • 1
  • 1
Western Blotting (WB), Immunohistochemistry (IHC), ELISA
  • Épitope

    • 15
    • 6
    • 4
    • 2
    • 2
    • 1
    • 1
    • 1
    • 1
    • 1
    AA 100-359

    Fonction

    AKR7A2 Antibody

     Réactivité croisée

    Souris

    Purification

    Antigen Affinity Purified

    Immunogène

    Recombinant Human Aflatoxin B1 aldehyde reductase member 2 protein (100-359AA)

    Isotype

    IgG
  • Indications d'application

    Optimal working dilution should be determined by the investigator.

    Restrictions

    For Research Use only
  • Format

    Liquid

    Buffer

    PBS with 0.02 % sodium azide, 50 % glycerol, pH 7.3.

    Agent conservateur

    Sodium azide

    Précaution d'utilisation

    This product contains Sodium azide: a POISONOUS AND HAZARDOUS SUBSTANCE which should be handled by trained staff only.

    Stock

    -20 °C,-80 °C

    Stockage commentaire

    Upon receipt, store at -20°C or -80°C. Avoid repeated freeze.
  • Antigène

    AKR7A2 (Aflatoxin Beta1 Aldehyde Reductase (AKR7A2))

    Autre désignation

    AKR7A2

    Sujet

    Background: Catalyzes the NADPH-dependent reduction of succinic semialdehyde to gamma-hydroxybutyrate. May have an important role in producing the neuromodulator gamma-hydroxybutyrate (GHB). Has broad substrate specificity. Has NADPH-dependent aldehyde reductase activity towards 2-carboxybenzaldehyde, 2-nitrobenzaldehyde and pyridine-2-aldehyde (in vitro). Can reduce 1,2-naphthoquinone and 9,10-phenanthrenequinone (in vitro). Can reduce the dialdehyde protein-binding form of aflatoxin B1 (AFB1) to the non-binding AFB1 dialcohol. May be involved in protection of liver against the toxic and carcinogenic effects of AFB1, a potent hepatocarcinogen.

    Aliases: AFAR antibody, AFAR1 antibody, AFB1 aldehyde reductase 1 antibody, AFB1 AR1 antibody, AFB1-AR 1 antibody, AFB1AR1 antibody, Aflatoxin aldehyde reductase antibody, Aflatoxin B1 aldehyde reductase member 2 antibody, Aflatoxin beta1 aldehyde reductase antibody, Aiar antibody, AKR7 antibody, Akr7a2 antibody, Aldo keto reductase family 7 antibody, Aldo keto reductase family 7 member A2 aflatoxin aldehyde reductase antibody, Aldo keto reductase family 7 member A2 antibody, Aldo keto reductase family 7, member A2 (aflatoxin aldehyde reductase) antibody, Aldoketoreductase 7 antibody, ARK72_HUMAN antibody, SSA reductase antibody, Succinic semialdehyde reductase antibody

    UniProt

    O43488
Vous êtes ici:
Chat with us!