SGCA anticorps (AA 24-290)
Aperçu rapide pour SGCA anticorps (AA 24-290) (ABIN7143931)
Antigène
Voir toutes SGCA AnticorpsReactivité
Hôte
Clonalité
Conjugué
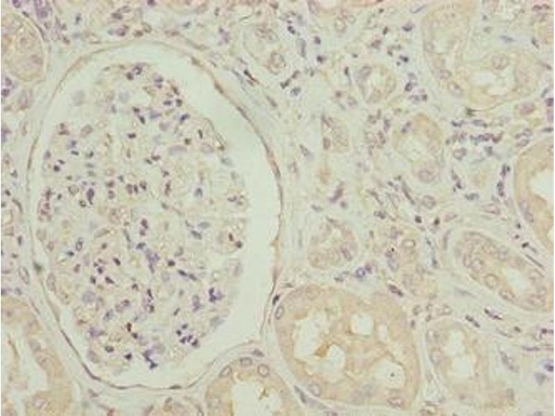
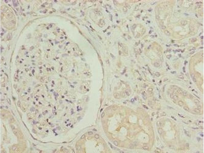
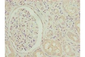
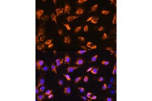
Application
-
-
Épitope
- AA 24-290
-
Fonction
- SGCA Antibody
-
Purification
- Antigen Affinity Purified
-
Immunogène
- Recombinant Human Alpha-sarcoglycan protein (24-290AA)
-
Isotype
- IgG
-
-
-
-
Indications d'application
- Optimal working dilution should be determined by the investigator.
-
Restrictions
- For Research Use only
-
-
-
Format
- Liquid
-
Buffer
-
Preservative: 0.03 % Proclin 300
Constituents: 50 % Glycerol, 0.01M PBS, PH 7.4 -
Agent conservateur
- ProClin
-
Précaution d'utilisation
- This product contains ProClin: a POISONOUS AND HAZARDOUS SUBSTANCE which should be handled by trained staff only.
-
Stock
- -20 °C,-80 °C
-
Stockage commentaire
- Upon receipt, store at -20°C or -80°C. Avoid repeated freeze.
-
-
- SGCA (Sarcoglycan, alpha (50kDa Dystrophin-Associated Glycoprotein) (SGCA))
-
Autre désignation
- SGCA
-
Sujet
-
Background: Component of the sarcoglycan complex, a subcomplex of the dystrophin-glycoprotein complex which forms a link between the F-actin cytoskeleton and the extracellular matrix.
Aliases: 50 DAG antibody, 50 kDa dystrophin associated glycoprotein antibody, 50 kDa dystrophin-associated glycoprotein antibody, 50DAG antibody, 50kD DAG antibody, 59 kDa antibody, A2 antibody, adhalin antibody, ADL antibody, Alpha SG antibody, Alpha-sarcoglycan antibody, Alpha-SG antibody, Asg antibody, DAG2 antibody, DMDA2 antibody, Dystroglycan 2 antibody, Dystroglycan-2 antibody, LGMD2D antibody, sarcoglycan, alpha (dystrophin-associated glycoprotein) antibody, SCARMD1 antibody, Sgca antibody, SGCA_HUMAN antibody
-
UniProt
- Q16586
Antigène
-