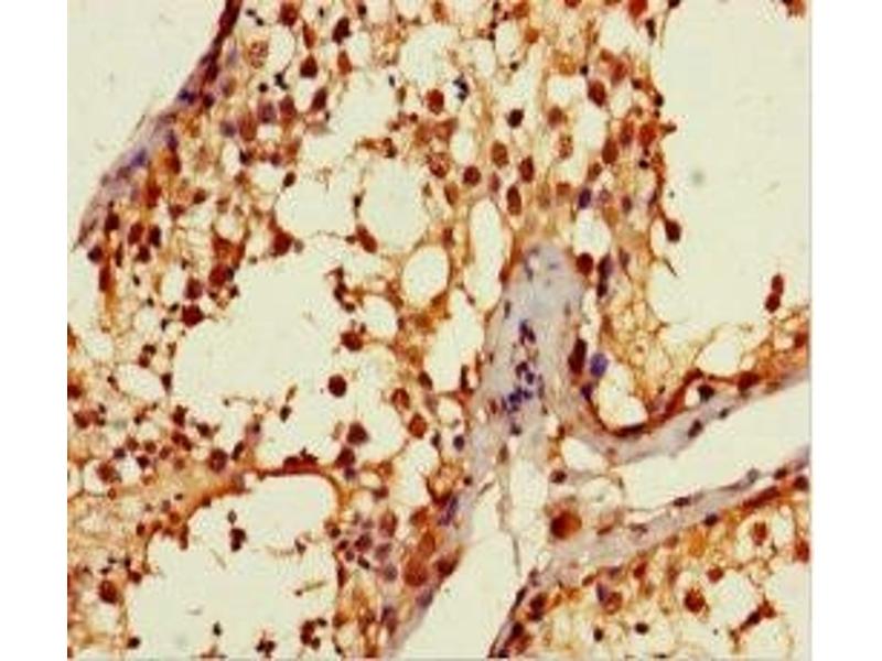
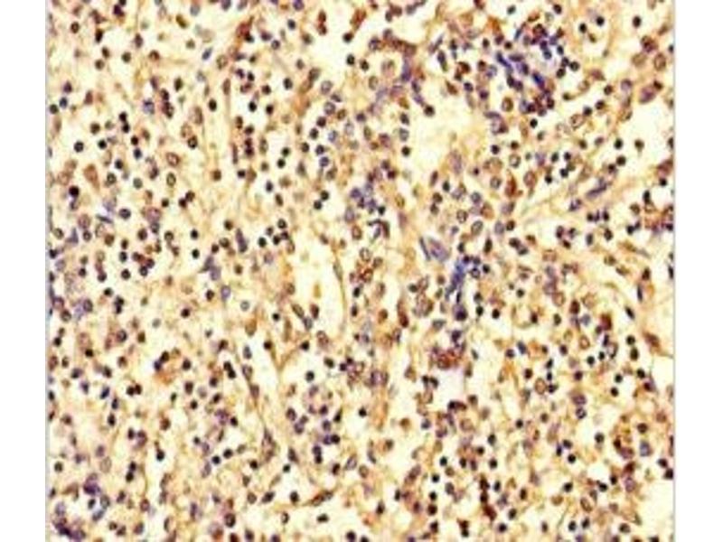
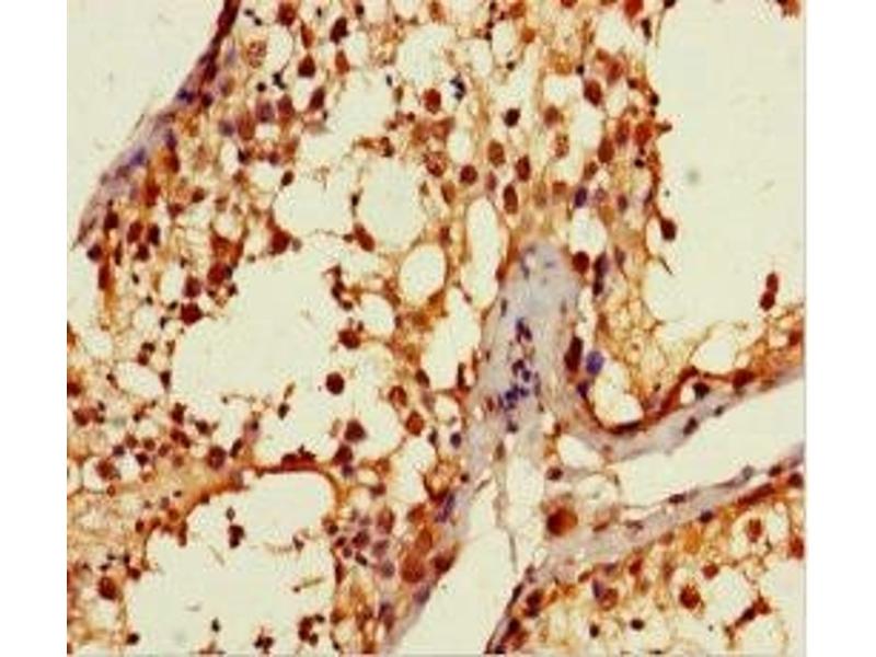
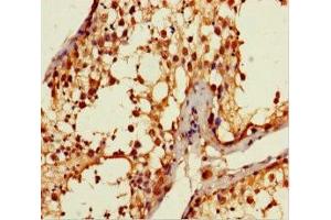
ANKDD1A anticorps (AA 272-490)
Aperçu rapide pour ANKDD1A anticorps (AA 272-490) (ABIN7144155)
Antigène
Reactivité
Hôte
Clonalité
Conjugué
Application
-
-
Épitope
- AA 272-490
-
Fonction
- ANKDD1A Antibody
-
Purification
- Protein G purified
-
Pureté
- >95 %
-
Immunogène
- Recombinant Human Ankyrin repeat and death domain-containing protein 1A protein (272-490AA)
-
Isotype
- IgG
-
-
-
-
Indications d'application
- Optimal working dilution should be determined by the investigator.
-
Restrictions
- For Research Use only
-
-
-
Format
- Liquid
-
Buffer
-
Preservative: 0.03 % Proclin 300
Constituents: 50 % Glycerol, 0.01M PBS, PH 7.4 -
Agent conservateur
- ProClin
-
Précaution d'utilisation
- This product contains ProClin: a POISONOUS AND HAZARDOUS SUBSTANCE which should be handled by trained staff only.
-
Stock
- -20 °C,-80 °C
-
Stockage commentaire
- Upon receipt, store at -20°C or -80°C. Avoid repeated freeze.
-
-
- ANKDD1A (Ankyrin Repeat and Death Domain Containing 1A (ANKDD1A))
-
Autre désignation
- ANKDD1A
-
Sujet
- AKD1A_HUMAN antibody, ANKDD1A antibody, Ankyrin repeat and death domain containing 1A antibody, Ankyrin repeat and death domain-containing protein 1A antibody, FLJ18078 antibody, FLJ25870 antibody, MGC120305 antibody, MGC120306 antibody, MGC120307 antibody, OTTHUMP00000164083 antibody, OTTHUMP00000164131 antibody, OTTHUMP00000220561 antibody
-
UniProt
- Q495B1
Antigène
-