Tel:
+49 (0)241 95 163 153
Fax:
+49 (0)241 95 163 155
E-Mail:
orders@anticorps-enligne.fr

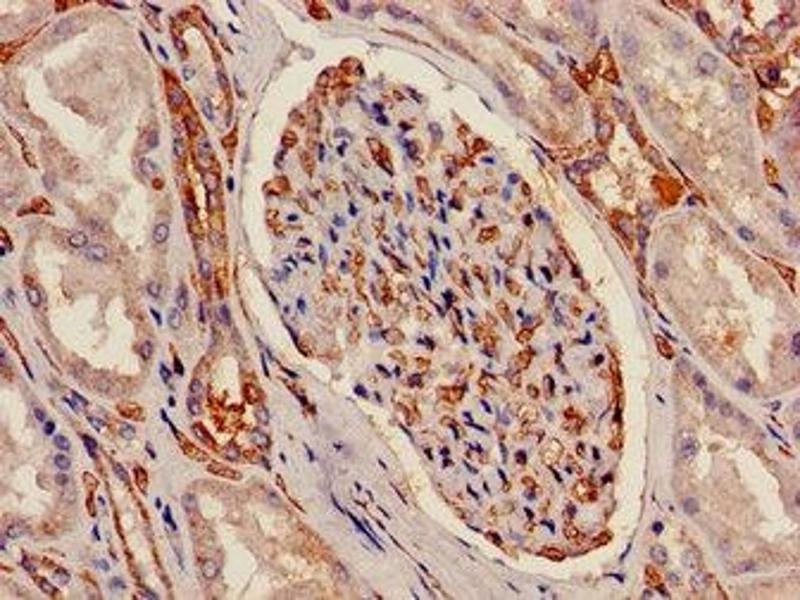
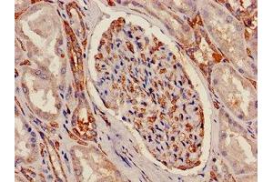
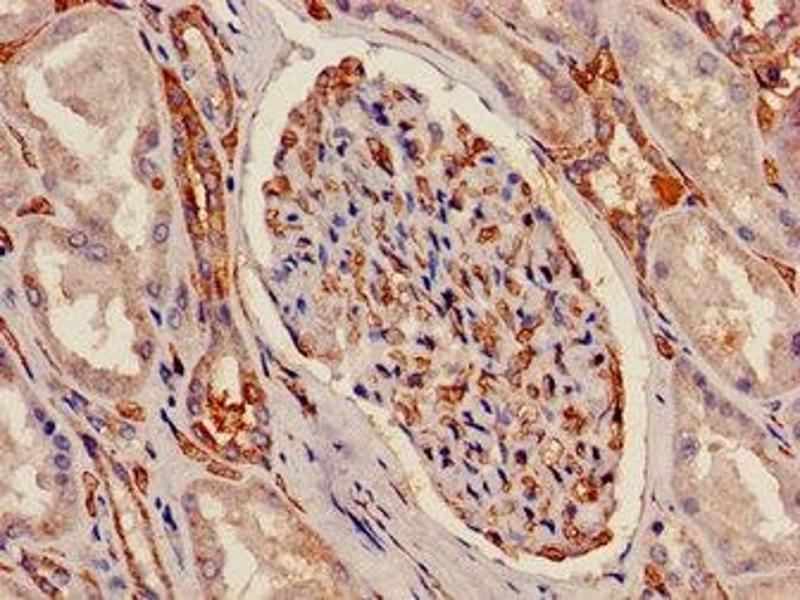
ATP5F1C (AA 156-266) anticorps

Cet anticorps anti-ATP5F1C Polyclonal Lapin (ABIN7144864) détecte spécifiquement ATP5F1C dans ELISA et IHC. L’anticorps est réactif avec des échantillons de Humain.
N° du produit ABIN7144864
328,90 €
Plus frais de livraison 40,00 € et TVA
Destination: France
Envoi sous 11 à 15 jours ouvrables

Aperçu rapide pour ATP5F1C (AA 156-266) anticorps (ABIN7144864)

Antigène

ATP5F1C

Reactivité

Humain

Hôte

  • 3
Lapin

Clonalité

  • 3
Polyclonal

Conjugué

  • 1
  • 1
  • 1
Inconjugué

Application

ELISA, Immunohistochemistry (IHC)
  • Épitope

    AA 156-266

    Fonction

    ATP5F1C Antibody

    Purification

    Protein G purified

    Pureté

    >95 %

    Immunogène

    Recombinant Human ATP synthase subunit gamma, mitochondrial protein (156-266AA)

    Isotype

    IgG
  • Indications d'application

    Optimal working dilution should be determined by the investigator.

    Restrictions

    For Research Use only
  • Format

    Liquid

    Buffer

    Preservative: 0.03 % Proclin 300
    Constituents: 50 % Glycerol, 0.01M PBS, pH 7.4

    Agent conservateur

    ProClin

    Précaution d'utilisation

    This product contains ProClin: a POISONOUS AND HAZARDOUS SUBSTANCE which should be handled by trained staff only.

    Stock

    -20 °C,-80 °C

    Stockage commentaire

    Upon receipt, store at -20°C or -80°C. Avoid repeated freeze.
  • Antigène

    ATP5F1C

    Sujet

    Background: Mitochondrial membrane ATP synthase (F(1)F(0) ATP synthase or Complex V) produces ATP from ADP in the presence of a proton gradient across the membrane which is generated by electron transport complexes of the respiratory chain. F-type ATPases consist of two structural domains, F(1) - containing the extramembraneous catalytic core, and F(0) - containing the membrane proton channel, linked together by a central stalk and a peripheral stalk. During catalysis, ATP synthesis in the catalytic domain of F(1) is coupled via a rotary mechanism of the central stalk subunits to proton translocation. Part of the complex F(1) domain and the central stalk which is part of the complex rotary element. The gamma subunit protrudes into the catalytic domain formed of alpha(3)beta(3). Rotation of the central stalk against the surrounding alpha(3)beta(3) subunits leads to hydrolysis of ATP in three separate catalytic sites on the beta subunits.

    Aliases: ATP synthase gamma chain, mitochondrial antibody, ATP synthase subunit gamma antibody, ATP synthase subunit gamma, mitochondrial antibody, ATP synthase, H+ transporting, mitochondrial F1 complex, gamma polypeptide 1 antibody, ATP synthase, H+ transporting, mitochondrial F1 complex, gamma subunit antibody, ATP5C 1 antibody, ATP5C antibody, ATP5C1 antibody, ATP5CL1 antibody, ATPG_HUMAN antibody, F ATPase gamma subunit antibody, F-ATPase gamma subunit antibody, mitochondrial antibody, Mitochondrial ATP synthase, gamma subunit 1 antibody

    UniProt

    P36542
Vous êtes ici:
Chat with us!