Tel:
+49 (0)241 95 163 153
Fax:
+49 (0)241 95 163 155
E-Mail:
orders@anticorps-enligne.fr

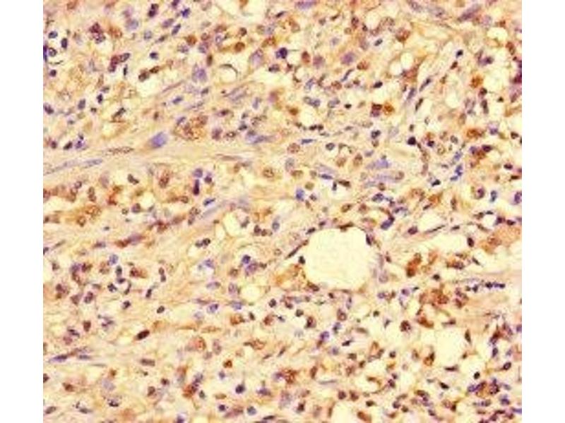
PIF1 anticorps (AA 125-360)

Cet anticorps Lapin Polyclonal détecte spécifiquement PIF1 dans ELISA et IHC. Il présente une réactivité avec des échantillons de Humain.
N° du produit ABIN7144964
328,90 €
Plus frais de livraison 40,00 € et TVA
Destination: France
Envoi sous 11 à 15 jours ouvrables

Aperçu rapide pour PIF1 anticorps (AA 125-360) (ABIN7144964)

Antigène

Voir toutes PIF1 Anticorps
PIF1 (PIF1 5'-To-3' DNA Helicase (PIF1))

Reactivité

  • 15
  • 4
  • 3
Humain

Hôte

  • 15
Lapin

Clonalité

  • 15
Polyclonal

Conjugué

  • 5
  • 2
  • 1
  • 1
  • 1
  • 1
  • 1
  • 1
  • 1
  • 1
Cet anticorp PIF1 est non-conjugé

Application

  • 8
  • 5
  • 2
  • 1
ELISA, Immunohistochemistry (IHC)
  • Épitope

    • 4
    • 2
    • 1
    • 1
    AA 125-360

    Fonction

    PIF1 Antibody

    Purification

    Protein G purified

    Pureté

    >95 %

    Immunogène

    Recombinant Human ATP-dependent DNA helicase PIF1 protein (125-360AA)

    Isotype

    IgG
  • Indications d'application

    Optimal working dilution should be determined by the investigator.

    Restrictions

    For Research Use only
  • Format

    Liquid

    Buffer

    Preservative: 0.03 % Proclin 300
    Constituents: 50 % Glycerol, 0.01M PBS, PH 7.4

    Agent conservateur

    ProClin

    Précaution d'utilisation

    This product contains ProClin: a POISONOUS AND HAZARDOUS SUBSTANCE which should be handled by trained staff only.

    Stock

    -20 °C,-80 °C

    Stockage commentaire

    Upon receipt, store at -20°C or -80°C. Avoid repeated freeze.
  • Antigène

    PIF1 (PIF1 5'-To-3' DNA Helicase (PIF1))

    Autre désignation

    PIF1

    Sujet

    Background: DNA-dependent ATPase and 5\\\'-3\\\' DNA helicase required for the maintenance of both mitochondrial and nuclear genome stability. Efficiently unwinds G-quadruplex (G4) DNA structures and forked RNA-DNA hybrids. Resolves G4 structures, preventing replication pausing and double-strand breaks (DSBs) at G4 motifs. Involved in the maintenance of telomeric DNA. Inhibits telomere elongation, de novo telomere formation and telomere addition to DSBs via catalytic inhibition of telomerase. Reduces the processivity of telomerase by displacing active telomerase from DNA ends. Releases telomerase by unwinding the short telomerase RNA/telomeric DNA hybrid that is the intermediate in the telomerase reaction. Possesses an intrinsic strand annealing activity.

    Aliases: ATP dependent DNA helicase PIF1 antibody, ATP-dependent DNA helicase PIF1 antibody, C15orf20 antibody, DNA helicase homolog PIF1 antibody, DNA helicase PIF1 antibody, DNA repair and recombination helicase PIF1 antibody, Petite integration frequency 1 antibody, PIF antibody, PIF1 5' to 3' DNA helicase antibody, PIF1 5' to 3' DNA helicase homolog antibody, PIF1 antibody, PIF1 DNA helicase antibody, PIF1/RRM3 DNA helicase like protein antibody, PIF1/RRM3 DNA helicase-like protein antibody, PIF1_HUMAN antibody

    UniProt

    Q9H611
Vous êtes ici:
Chat with us!