DDX19A anticorps (AA 1-478)
Aperçu rapide pour DDX19A anticorps (AA 1-478) (ABIN7144980)
Antigène
Voir toutes DDX19A AnticorpsReactivité
Hôte
Clonalité
Conjugué
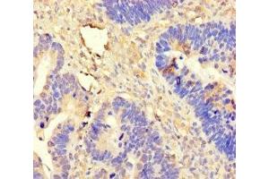
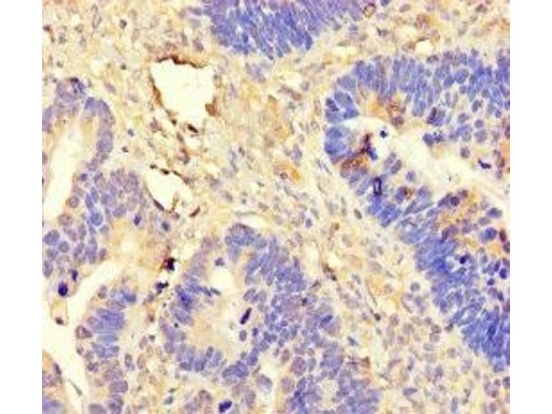
Application
-
-
Épitope
- AA 1-478
-
Fonction
- DDX19A Antibody
-
Réactivité croisée
- Souris
-
Purification
- Protein G purified
-
Pureté
- >95 %
-
Immunogène
- Recombinant Human ATP-dependent RNA helicase DDX19A protein (1-478AA)
-
Isotype
- IgG
-
-
-
-
Indications d'application
- Optimal working dilution should be determined by the investigator.
-
Restrictions
- For Research Use only
-
-
-
Format
- Liquid
-
Buffer
-
Preservative: 0.03 % Proclin 300
Constituents: 50 % Glycerol, 0.01M PBS, PH 7.4 -
Agent conservateur
- ProClin
-
Précaution d'utilisation
- This product contains ProClin: a POISONOUS AND HAZARDOUS SUBSTANCE which should be handled by trained staff only.
-
Stock
- -20 °C,-80 °C
-
Stockage commentaire
- Upon receipt, store at -20°C or -80°C. Avoid repeated freeze.
-
-
- DDX19A (DEAD (Asp-Glu-Ala-As) Box Polypeptide 19A (DDX19A))
-
Autre désignation
- DDX19A
-
Sujet
-
Background: ATP-dependent RNA helicase involved in mRNA export from the nucleus. Rather than unwinding RNA duplexes, DDX19 functions as a remodeler of ribonucleoprotein particles, whereby proteins bound to nuclear mRNA are dissociated and replaced by cytoplasmic mRNA binding proteins
Aliases: ATP dependent RNA helicase DDX19A antibody, ATP-dependent RNA helicase DDX19A antibody, DD19A_HUMAN antibody, DDX19 like protein antibody, DDX19-like protein antibody, DDX19A antibody, DDX19L antibody, DEAD box protein 19A antibody
-
UniProt
- Q9NUU7
Antigène
-