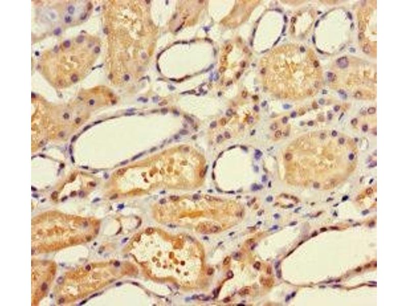
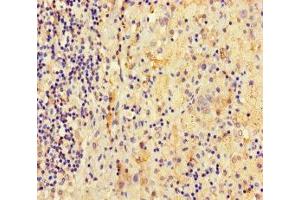
ATAD3C anticorps (AA 1-122)
Aperçu rapide pour ATAD3C anticorps (AA 1-122) (ABIN7145044)
Antigène
Reactivité
Hôte
Clonalité
Conjugué
Application
-
-
Épitope
- AA 1-122
-
Fonction
- ATAD3C Antibody
-
Purification
- Protein G purified
-
Pureté
- >95 %
-
Immunogène
- Recombinant Human ATPase family AAA domain-containing protein 3C protein (1-122AA)
-
Isotype
- IgG
-
-
-
-
Indications d'application
- Optimal working dilution should be determined by the investigator.
-
Restrictions
- For Research Use only
-
-
-
Format
- Liquid
-
Buffer
-
Preservative: 0.03 % Proclin 300
Constituents: 50 % Glycerol, 0.01M PBS, PH 7.4 -
Agent conservateur
- ProClin
-
Précaution d'utilisation
- This product contains ProClin: a POISONOUS AND HAZARDOUS SUBSTANCE which should be handled by trained staff only.
-
Stock
- -20 °C,-80 °C
-
Stockage commentaire
- Upon receipt, store at -20°C or -80°C. Avoid repeated freeze.
-
-
- ATAD3C (ATPase Family, AAA Domain Containing 3C (ATAD3C))
-
Autre désignation
- ATAD3C
-
Sujet
- ATAD3CATPase family AAA domain-containing protein 3C antibody
-
UniProt
- Q5T2N8
Antigène
-