Tel:
+49 (0)241 95 163 153
Fax:
+49 (0)241 95 163 155
E-Mail:
orders@anticorps-enligne.fr

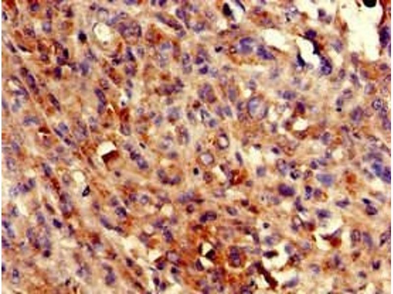
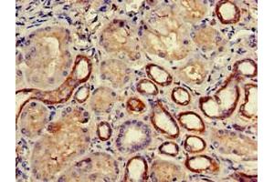
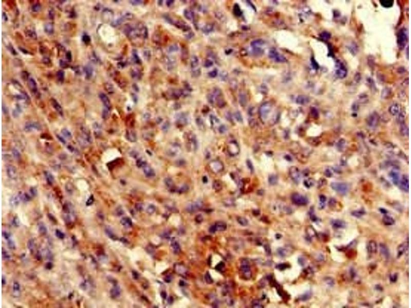
COQ8B anticorps (AA 10-137)

Cet anticorps anti-COQ8B Polyclonal Lapin (ABIN7145071) détecte spécifiquement COQ8B dans ELISA, IF, IHC et WB. L’anticorps est réactif avec des échantillons de Humain.
N° du produit ABIN7145071
328,90 €
Plus frais de livraison 40,00 € et TVA
Destination: France
Envoi sous 11 à 15 jours ouvrables

Aperçu rapide pour COQ8B anticorps (AA 10-137) (ABIN7145071)

Antigène

COQ8B (Atypical Kinase COQ8B, Mitochondrial (COQ8B))

Reactivité

  • 4
  • 1
  • 1
Humain

Hôte

  • 4
Lapin

Clonalité

  • 4
Polyclonal

Conjugué

  • 1
  • 1
  • 1
  • 1
Cet anticorp COQ8B est non-conjugé

Application

  • 3
  • 1
  • 1
  • 1
  • 1
ELISA, Immunofluorescence (IF), Immunohistochemistry (IHC), Western Blotting (WB)
  • Épitope

    • 3
    • 1
    AA 10-137

    Fonction

    COQ8B Antibody

    Purification

    Protein G purified

    Pureté

    >95 %

    Immunogène

    Recombinant Human Atypical kinase COQ8B, mitochondrial protein (10-137AA)

    Isotype

    IgG
  • Indications d'application

    Optimal working dilution should be determined by the investigator.

    Restrictions

    For Research Use only
  • Format

    Liquid

    Buffer

    Preservative: 0.03 % Proclin 300
    Constituents: 50 % Glycerol, 0.01M PBS, pH 7.4

    Agent conservateur

    ProClin

    Précaution d'utilisation

    This product contains ProClin: a POISONOUS AND HAZARDOUS SUBSTANCE which should be handled by trained staff only.

    Stock

    -20 °C,-80 °C

    Stockage commentaire

    Upon receipt, store at -20°C or -80°C. Avoid repeated freeze.
  • Antigène

    COQ8B (Atypical Kinase COQ8B, Mitochondrial (COQ8B))

    Autre désignation

    COQ8B

    Sujet

    Background: May play a role in CoQ10 (COQ10A and/or COQ10B) biosynthesis, which is required for podocyte migration.

    Aliases: aarF domain containing protein kinase 4 antibody, ADCK4 antibody, ADCK4_HUMAN antibody, Atypical kinase COQ8B mitochondrial antibody, Coenzyme Q8B antibody, COQ8B antibody, NPHS9 antibody, Uncharacterized aarF domain containing protein kinase 4 antibody, Uncharacterized aarF domain-containing protein kinase 4 antibody

    UniProt

    Q96D53
Vous êtes ici:
Chat with us!