Tel:
+49 (0)241 95 163 153
Fax:
+49 (0)241 95 163 155
E-Mail:
orders@anticorps-enligne.fr

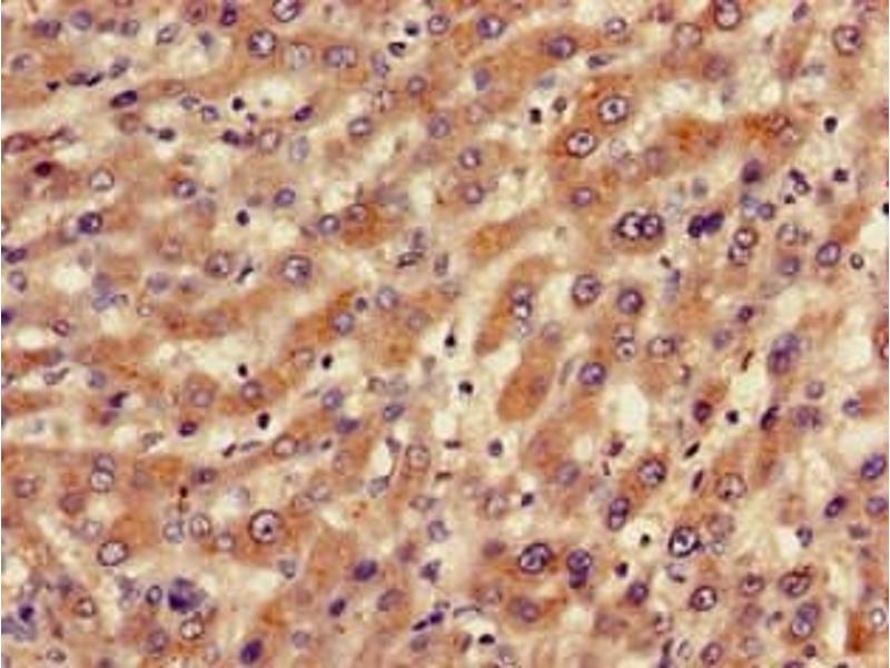
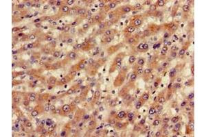
BBS10 anticorps (AA 435-552)

L’anticorps anti-BBS10 Polyclonal Lapin est utilisé pour la détection de BBS10 dans des échantillons de Humain. Il a été validé pour ELISA et IHC.
N° du produit ABIN7145235
328,90 €
Plus frais de livraison 40,00 € et TVA
Destination: France
Envoi sous 11 à 15 jours ouvrables

Aperçu rapide pour BBS10 anticorps (AA 435-552) (ABIN7145235)

Antigène

Voir toutes BBS10 Anticorps
BBS10 (Bardet-Biedl Syndrome 10 (BBS10))

Reactivité

  • 45
  • 2
  • 1
  • 1
Humain

Hôte

  • 44
  • 1
Lapin

Clonalité

  • 45
Polyclonal

Conjugué

  • 14
  • 4
  • 4
  • 4
  • 1
  • 1
  • 1
  • 1
  • 1
  • 1
  • 1
  • 1
  • 1
  • 1
  • 1
  • 1
  • 1
  • 1
  • 1
  • 1
  • 1
  • 1
  • 1
Cet anticorp BBS10 est non-conjugé

Application

  • 32
  • 17
  • 13
  • 13
  • 9
  • 4
  • 3
  • 3
  • 3
  • 2
  • 1
ELISA, Immunohistochemistry (IHC)
  • Épitope

    • 15
    • 8
    • 7
    • 3
    • 2
    • 1
    • 1
    • 1
    • 1
    AA 435-552

    Fonction

    BBS10 Antibody

    Purification

    Protein G purified

    Pureté

    >95 %

    Immunogène

    Recombinant Human Bardet-Biedl syndrome 10 protein (435-552AA)

    Isotype

    IgG
  • Indications d'application

    Optimal working dilution should be determined by the investigator.

    Restrictions

    For Research Use only
  • Format

    Liquid

    Buffer

    Preservative: 0.03 % Proclin 300
    Constituents: 50 % Glycerol, 0.01M PBS, pH 7.4

    Agent conservateur

    ProClin

    Précaution d'utilisation

    This product contains ProClin: a POISONOUS AND HAZARDOUS SUBSTANCE which should be handled by trained staff only.

    Stock

    -20 °C,-80 °C

    Stockage commentaire

    Upon receipt, store at -20°C or -80°C. Avoid repeated freeze.
  • Antigène

    BBS10 (Bardet-Biedl Syndrome 10 (BBS10))

    Autre désignation

    BBS10

    Sujet

    Background: Probable molecular chaperone. Assists the folding of proteins upon ATP hydrolysis. As part of the BBS/CCT complex may play a role in the assembly of BBSome, a complex involved in ciliogenesis regulating transports vesicles to the cilia. Involved in adipogenic differentiation.

    Aliases: BBS10 antibody, C12orf58Bardet-Biedl syndrome 10 protein antibody

    UniProt

    Q8TAM1
Vous êtes ici:
Chat with us!