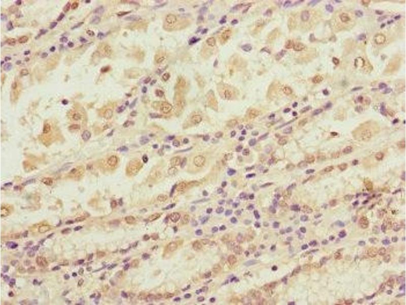
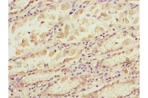
BLOC1S2 anticorps (AA 44-142)
Aperçu rapide pour BLOC1S2 anticorps (AA 44-142) (ABIN7145604)
Antigène
Voir toutes BLOC1S2 AnticorpsReactivité
Hôte
Clonalité
Conjugué
Application
-
-
Épitope
- AA 44-142
-
Fonction
- BLOC1S2 Antibody
-
Purification
- Antigen Affinity Purified
-
Immunogène
- Recombinant Human Biogenesis of lysosome-related organelles complex 1 subunit 2 protein (44-142AA)
-
Isotype
- IgG
-
-
-
-
Indications d'application
- Optimal working dilution should be determined by the investigator.
-
Restrictions
- For Research Use only
-
-
-
Format
- Liquid
-
Buffer
- PBS with 0.02 % sodium azide, 50 % glycerol, pH 7.3.
-
Agent conservateur
- Sodium azide
-
Précaution d'utilisation
- This product contains Sodium azide: a POISONOUS AND HAZARDOUS SUBSTANCE which should be handled by trained staff only.
-
Stock
- -20 °C,-80 °C
-
Stockage commentaire
- Upon receipt, store at -20°C or -80°C. Avoid repeated freeze.
-
-
- BLOC1S2 (Biogenesis of Lysosomal Organelles Complex-1, Subunit 2 (BLOC1S2))
-
Autre désignation
- BLOC1S2
-
Sujet
-
Background: Component of the BLOC-1 complex, a complex that is required for normal biogenesis of lysosome-related organelles (LRO), such as platelet dense granules and melanosomes. In concert with the AP-3 complex, the BLOC-1 complex is required to target membrane protein cargos into vesicles assembled at cell bodies for delivery into neurites and nerve terminals. The BLOC-1 complex, in association with SNARE proteins, is also proposed to be involved in neurite extension. Plays a role in intracellular vesicle trafficking. May play a role in cell proliferation.
Aliases: Biogenesis of lysosome-related organelles complex 1 subunit 2 antibody, BL1S2_HUMAN antibody, BLOC-1 subunit 2 antibody, Bloc1s2 antibody, BLOS2 antibody, Centrosome-associated protein antibody, RP11 316M21.4 antibody
-
UniProt
- Q6QNY1
Antigène
-