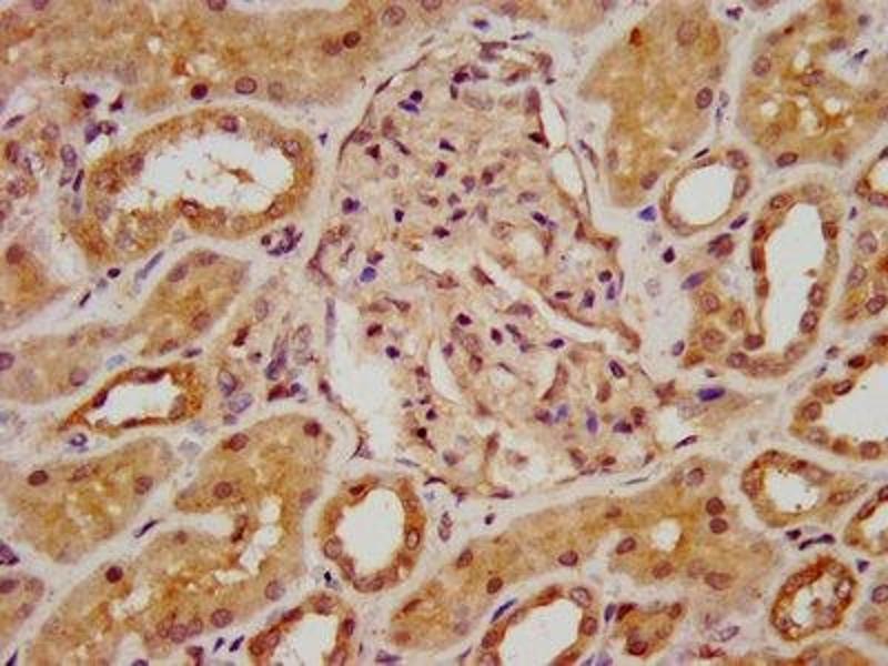
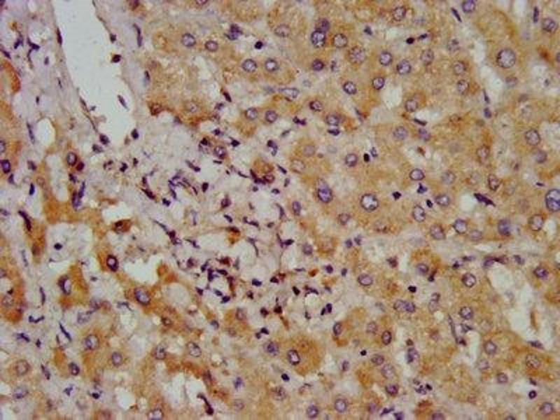
BAZ2B anticorps (AA 139-240)
Aperçu rapide pour BAZ2B anticorps (AA 139-240) (ABIN7145800)
Antigène
Voir toutes BAZ2B AnticorpsReactivité
Hôte
Clonalité
Conjugué
Application
-
-
Épitope
- AA 139-240
-
Fonction
- BAZ2B Antibody
-
Purification
- Protein G purified
-
Pureté
- >95 %
-
Immunogène
- Recombinant Human Bromodomain adjacent to zinc finger domain protein 2B protein (139-240AA)
-
Isotype
- IgG
-
-
-
-
Indications d'application
- Optimal working dilution should be determined by the investigator.
-
Restrictions
- For Research Use only
-
-
-
Format
- Liquid
-
Buffer
-
Preservative: 0.03 % Proclin 300
Constituents: 50 % Glycerol, 0.01M PBS, pH 7.4 -
Agent conservateur
- ProClin
-
Précaution d'utilisation
- This product contains ProClin: a POISONOUS AND HAZARDOUS SUBSTANCE which should be handled by trained staff only.
-
Stock
- -20 °C,-80 °C
-
Stockage commentaire
- Upon receipt, store at -20°C or -80°C. Avoid repeated freeze.
-
-
- BAZ2B (Bromodomain Adjacent To Zinc Finger Domain, 2B (BAZ2B))
-
Autre désignation
- BAZ2B
-
Sujet
-
Background: May play a role in transcriptional regulation interacting with ISWI.
Aliases: BAZ2B antibody, BAZ2B_HUMAN antibody, Bromodomain adjacent to zinc finger domain 2B antibody, Bromodomain adjacent to zinc finger domain protein 2B antibody, DKFZp434H071 antibody, DKFZp762I0516 antibody, FLJ45644 antibody, hWALp4 antibody, OTTHUMP00000162897 antibody, OTTHUMP00000162898 antibody, WALp4 antibody
-
UniProt
- Q9UIF8
Antigène
-