×
Pour une meilleure utilisation, nous vous conseillons d’activer Javascript dans votre navigateur.
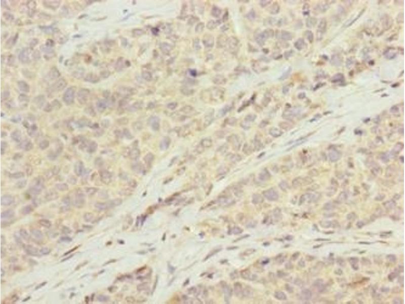
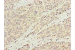
KCTD19 anticorps (AA 490-751)
Cet anticorps anti-KCTD19 Polyclonal Lapin (ABIN7145848) détecte spécifiquement KCTD19 dans ELISA et IHC.
L’anticorps est réactif avec des échantillons de Humain.
N° du produit ABIN7145848
328,90 €
Plus frais de livraison 40,00 € et TVA
50 μg ABIN7354359
100 μg ABIN7145848
50 μg ABIN7354359
100 μg ABIN7145848
Envoi sous 11 à 15 jours ouvrables
Aperçu rapide pour KCTD19 anticorps (AA 490-751) (ABIN7145848)
Antigène
KCTD19
(Potassium Channel Tetramerisation Domain Containing 19 (KCTD19))
Reactivité
Toutes les réactivités sur KCTD19 Anticorps
Humain
Hôte
Toutes les hôtes sur KCTD19 Anticorps
Lapin
Clonalité
Toutes les clonalités sur KCTD19 Anticorps
Polyclonal
Conjugué
Tous les conjugués à travers KCTD19 Anticorps
Cet anticorp KCTD19 est non-conjugé
Application
Tous les applications à travers KCTD19 Anticorps.
ELISA, Immunohistochemistry (IHC)
Détail du produit anti-KCTD19 anticorps
(cache)
Épitope
Tous les épitopes à travers KCTD19 Anticorps.
AA 490-751
Fonction
KCTD19 Antibody
Purification
Protein G purified
Pureté
>95 %
Immunogène
Recombinant Human BTB/POZ domain-containing protein KCTD19 protein (490-751AA)
Isotype
IgG
Alternatives
(show)
Information d'application
(cache)
Indications d'application
Optimal working dilution should be determined by the investigator.
Restrictions
For Research Use only
Stockage
(cache)
Format
Liquid
Buffer
Preservative: 0.03 % Proclin 300 Constituents: 50 % Glycerol, 0.01M PBS, PH 7.4
Agent conservateur
ProClin
Précaution d'utilisation
This product contains ProClin: a POISONOUS AND HAZARDOUS SUBSTANCE which should be handled by trained staff only.
Stock
-20 °C,-80 °C
Stockage commentaire
Upon receipt, store at -20°C or -80°C. Avoid repeated freeze.
Détails sur KCTD19
(cache)
Antigène
KCTD19
(Potassium Channel Tetramerisation Domain Containing 19 (KCTD19))
Autre désignation
KCTD19
Sujet
BTB/POZ domain-containing protein KCTD19 antibody, FLJ40162 antibody, KCD19_HUMAN antibody, KCTD19 antibody, potassium channel tetramerisation domain containing 19 antibody, Testicular tissue protein Li 101 antibody
UniProt
Q17RG1
Vus récemment
(cache)
Chat with us , powered by LiveChat