Tel:
+49 (0)241 95 163 153
Fax:
+49 (0)241 95 163 155
E-Mail:
orders@anticorps-enligne.fr

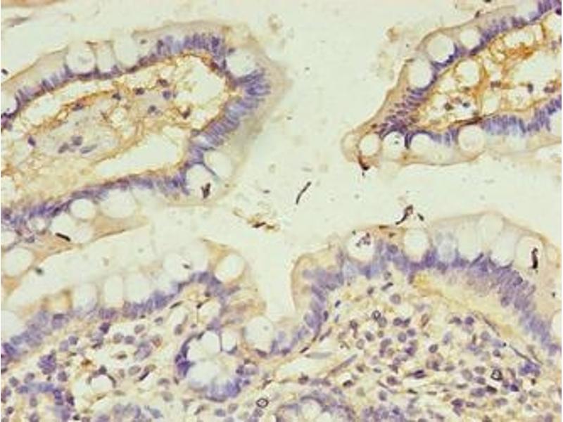
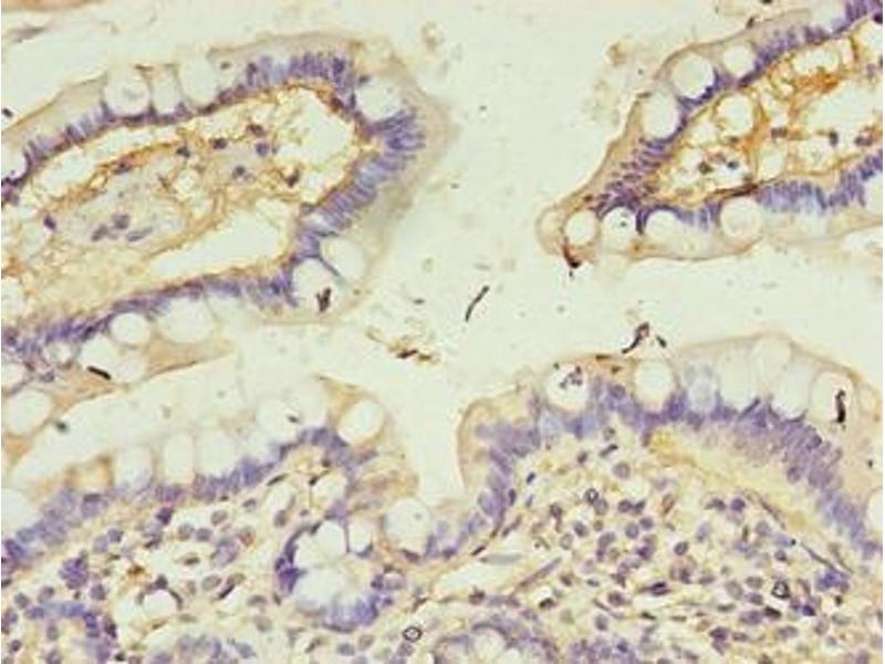
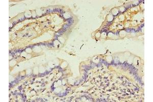
CALML4 anticorps (AA 1-120)

Cet anticorps Lapin Polyclonal détecte spécifiquement CALML4 dans ELISA et IHC. Il présente une réactivité avec des échantillons de Humain.
N° du produit ABIN7146497
328,90 €
Plus frais de livraison 40,00 € et TVA
Destination: France
Envoi sous 11 à 15 jours ouvrables

Aperçu rapide pour CALML4 anticorps (AA 1-120) (ABIN7146497)

Antigène

Voir toutes CALML4 Anticorps
CALML4 (Calmodulin-Like 4 (CALML4))

Reactivité

  • 18
  • 12
  • 2
  • 1
  • 1
  • 1
  • 1
  • 1
Humain

Hôte

  • 18
Lapin

Clonalité

  • 18
Polyclonal

Conjugué

  • 9
  • 3
  • 2
  • 2
  • 1
  • 1
Cet anticorp CALML4 est non-conjugé

Application

  • 14
  • 12
  • 2
  • 1
ELISA, Immunohistochemistry (IHC)
  • Épitope

    • 8
    • 4
    • 4
    • 2
    • 1
    AA 1-120

    Fonction

    CALML4 Antibody

    Purification

    Protein G purified

    Pureté

    >95 %

    Immunogène

    Recombinant Human Calmodulin-like protein 4 protein (1-120AA)

    Isotype

    IgG
  • Indications d'application

    Optimal working dilution should be determined by the investigator.

    Restrictions

    For Research Use only
  • Format

    Liquid

    Buffer

    Preservative: 0.03 % Proclin 300
    Constituents: 50 % Glycerol, 0.01M PBS, PH 7.4

    Agent conservateur

    ProClin

    Précaution d'utilisation

    This product contains ProClin: a POISONOUS AND HAZARDOUS SUBSTANCE which should be handled by trained staff only.

    Stock

    -20 °C,-80 °C

    Stockage commentaire

    Upon receipt, store at -20°C or -80°C. Avoid repeated freeze.
  • Antigène

    CALML4 (Calmodulin-Like 4 (CALML4))

    Autre désignation

    CALML4

    Sujet

    CALML4 antibody, Calmodulin-like protein 4 antibody, Serologically defined breast cancer antigen NY-BR-20 antibody

    UniProt

    Q96GE6
Vous êtes ici:
Chat with us!