Tel:
+49 (0)241 95 163 153
Fax:
+49 (0)241 95 163 155
E-Mail:
orders@anticorps-enligne.fr

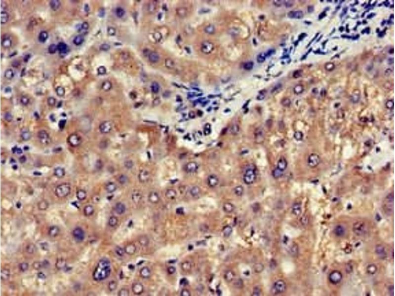
NOS1AP anticorps (AA 176-288)

L’anticorps anti-NOS1AP Polyclonal Lapin est utilisé pour la détection de NOS1AP dans des échantillons de Humain. Il a été validé pour ELISA, IHC et IF.
N° du produit ABIN7146747
328,90 €
Plus frais de livraison 40,00 € et TVA
Destination: France
Envoi sous 11 à 15 jours ouvrables

Aperçu rapide pour NOS1AP anticorps (AA 176-288) (ABIN7146747)

Antigène

Voir toutes NOS1AP Anticorps
NOS1AP (Nitric Oxide Synthase 1 (Neuronal) Adaptor Protein (NOS1AP))

Reactivité

  • 44
  • 7
  • 6
  • 2
  • 2
  • 1
  • 1
  • 1
  • 1
  • 1
Humain

Hôte

  • 41
  • 3
  • 1
Lapin

Clonalité

  • 43
  • 2
Polyclonal

Conjugué

  • 22
  • 4
  • 3
  • 3
  • 1
  • 1
  • 1
  • 1
  • 1
  • 1
  • 1
  • 1
  • 1
  • 1
  • 1
  • 1
  • 1
Cet anticorp NOS1AP est non-conjugé

Application

  • 37
  • 18
  • 13
  • 13
  • 12
  • 6
  • 3
  • 3
  • 3
  • 2
  • 1
  • 1
ELISA, Immunohistochemistry (IHC), Immunofluorescence (IF)
  • Épitope

    • 15
    • 7
    • 4
    • 4
    • 2
    • 2
    • 2
    • 1
    • 1
    • 1
    • 1
    • 1
    • 1
    • 1
    • 1
    AA 176-288

    Fonction

    NOS1AP Antibody

    Purification

    Protein G purified

    Pureté

    >95 %

    Immunogène

    Recombinant Human Carboxyl-terminal PDZ ligand of neuronal nitric oxide synthase protein (176-288AA)

    Isotype

    IgG
  • Indications d'application

    Optimal working dilution should be determined by the investigator.

    Restrictions

    For Research Use only
  • Format

    Liquid

    Buffer

    Preservative: 0.03 % Proclin 300
    Constituents: 50 % Glycerol, 0.01M PBS, pH 7.4

    Agent conservateur

    ProClin

    Précaution d'utilisation

    This product contains ProClin: a POISONOUS AND HAZARDOUS SUBSTANCE which should be handled by trained staff only.

    Stock

    -20 °C,-80 °C

    Stockage commentaire

    Upon receipt, store at -20°C or -80°C. Avoid repeated freeze.
  • Antigène

    NOS1AP (Nitric Oxide Synthase 1 (Neuronal) Adaptor Protein (NOS1AP))

    Autre désignation

    NOS1AP

    Sujet

    Background: Adapter protein involved in neuronal nitric-oxide (NO) synthesis regulation via its association with nNOS/NOS1. The complex formed with NOS1 and synapsins is necessary for specific NO and synapsin functions at a presynaptic level. Mediates an indirect interaction between NOS1 and RASD1 leading to enhance the ability of NOS1 to activate RASD1. Competes with DLG4 for interaction with NOS1, possibly affecting NOS1 activity by regulating the interaction between NOS1 and DLG4 (By similarity).

    Aliases: 6330408P19Rik antibody, C terminal PDZ domain ligand of neuronal nitric oxide synthase (CAPON) antibody, C terminal PDZ domain ligand of neuronal nitric oxide synthase antibody, C terminal PDZ ligand of neuronal nitric oxide synthase protein antibody, C-terminal PDZ ligand of neuronal nitric oxide synthase protein antibody, CAPON antibody, CAPON_HUMAN antibody, Carboxyl terminal PDZ ligand of neuronal nitric oxide synthase protein antibody, Carboxyl-terminal PDZ ligand of neuronal nitric oxide synthase protein antibody, Ligand of neuronal nitric oxide synthase with carboxyl terminal PDZ domain antibody, MGC138500 antibody, Nitric oxide synthase 1 (neuronal) adaptor protein antibody, Nitric oxide synthase 1 adaptor protein antibody, Nos1ap antibody

    UniProt

    O75052
Vous êtes ici:
Chat with us!