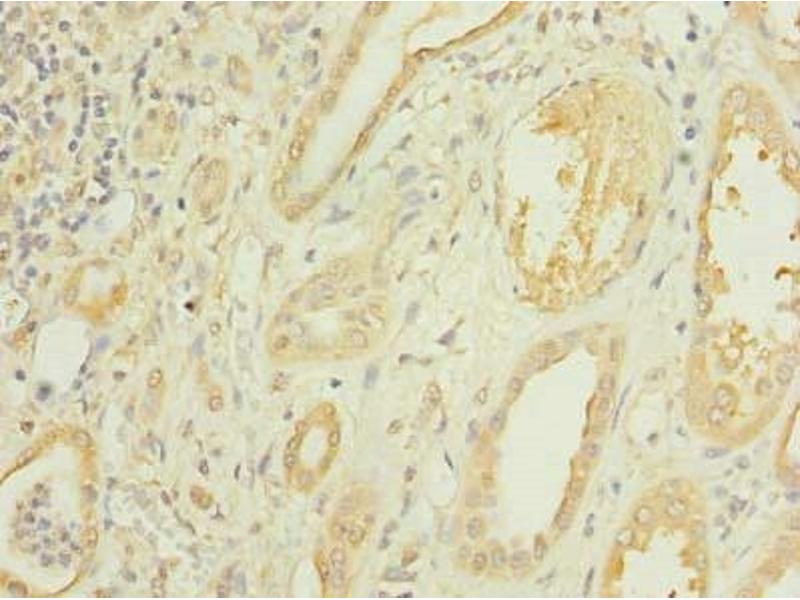
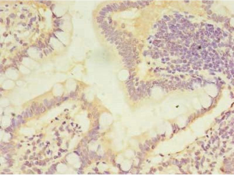
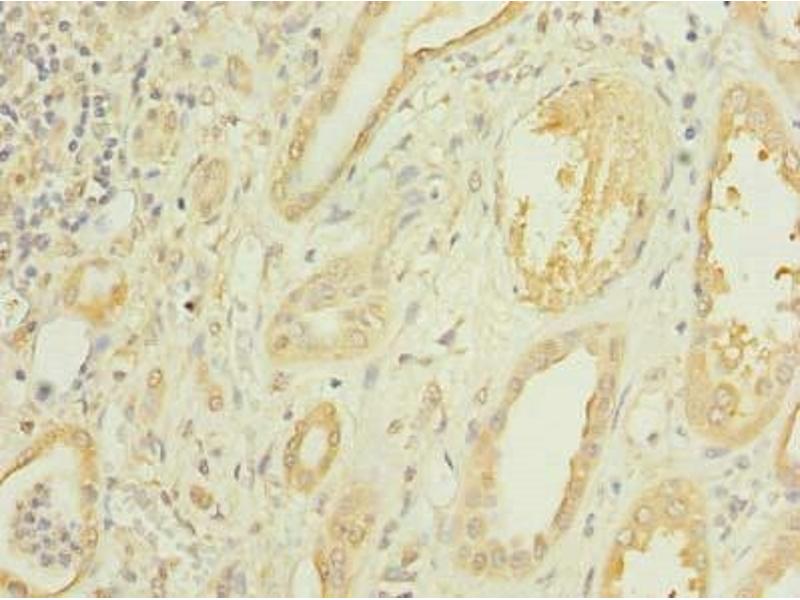
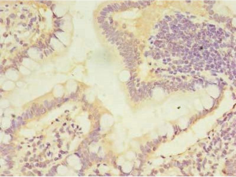
CMBL anticorps (AA 2-245)
Aperçu rapide pour CMBL anticorps (AA 2-245) (ABIN7146755)
Antigène
Voir toutes CMBL AnticorpsReactivité
Hôte
Clonalité
Conjugué
Application
-
-
Épitope
- AA 2-245
-
Fonction
- CMBL Antibody
-
Réactivité croisée
- Souris
-
Purification
- Protein G purified
-
Pureté
- >95 %
-
Immunogène
- Recombinant Human Carboxymethylenebutenolidase homolog protein (2-245AA)
-
Isotype
- IgG
-
-
-
-
Indications d'application
- Optimal working dilution should be determined by the investigator.
-
Restrictions
- For Research Use only
-
-
-
Format
- Liquid
-
Buffer
-
Preservative: 0.03 % Proclin 300
Constituents: 50 % Glycerol, 0.01M PBS, PH 7.4 -
Agent conservateur
- ProClin
-
Précaution d'utilisation
- This product contains ProClin: a POISONOUS AND HAZARDOUS SUBSTANCE which should be handled by trained staff only.
-
Stock
- -20 °C,-80 °C
-
Stockage commentaire
- Upon receipt, store at -20°C or -80°C. Avoid repeated freeze.
-
-
- CMBL (Carboxymethylenebutenolidase Homolog (CMBL))
-
Autre désignation
- CMBL
-
Sujet
-
Background: Cysteine hydrolase. Can convert the prodrug olmesartan medoxomil into its pharmacologically active metabolite olmerstatan, an angiotensin receptor blocker, in liver and intestine. May also activate beta-lactam antibiotics faropenem medoxomil and lenampicillin.
Aliases: Carboxymethylenebutenolidase homolog (Pseudomonas) antibody, Carboxymethylenebutenolidase homolog antibody, cmbl antibody, CMBL_HUMAN antibody, FLJ23617 antibody
-
UniProt
- Q96DG6
Antigène
-