Tel:
+49 (0)241 95 163 153
Fax:
+49 (0)241 95 163 155
E-Mail:
orders@anticorps-enligne.fr

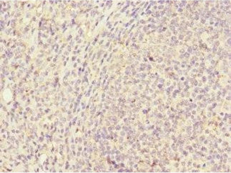
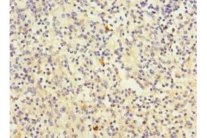
CD320 anticorps (AA 36-229)

L’anticorps anti-CD320 Polyclonal Lapin est utilisé pour la détection de CD320 dans des échantillons de Humain. Il a été validé pour ELISA et IHC.
N° du produit ABIN7147155
328,90 €
Plus frais de livraison 40,00 € et TVA
Destination: France
Envoi sous 11 à 15 jours ouvrables

Aperçu rapide pour CD320 anticorps (AA 36-229) (ABIN7147155)

Antigène

Voir toutes CD320 Anticorps
CD320 (CD320 Molecule (CD320))

Reactivité

  • 24
  • 5
  • 4
Humain

Hôte

  • 22
  • 2
  • 2
Lapin

Clonalité

  • 25
  • 1
Polyclonal

Conjugué

  • 18
  • 2
  • 2
  • 2
  • 1
  • 1
Cet anticorp CD320 est non-conjugé

Application

  • 24
  • 17
  • 8
  • 4
  • 4
  • 1
  • 1
  • 1
ELISA, Immunohistochemistry (IHC)
  • Épitope

    • 7
    • 4
    • 4
    • 3
    • 2
    • 2
    • 1
    • 1
    • 1
    • 1
    • 1
    AA 36-229

    Fonction

    CD320 Antibody

    Purification

    Antigen Affinity Purified

    Immunogène

    Recombinant Human CD320 antigen protein (36-229AA)

    Isotype

    IgG
  • Indications d'application

    Optimal working dilution should be determined by the investigator.

    Restrictions

    For Research Use only
  • Format

    Liquid

    Buffer

    PBS with 0.02 % sodium azide, 50 % glycerol, pH 7.3.

    Agent conservateur

    Sodium azide

    Précaution d'utilisation

    This product contains Sodium azide: a POISONOUS AND HAZARDOUS SUBSTANCE which should be handled by trained staff only.

    Stock

    -20 °C,-80 °C

    Stockage commentaire

    Upon receipt, store at -20°C or -80°C. Avoid repeated freeze.
  • Antigène

    CD320 (CD320 Molecule (CD320))

    Autre désignation

    CD320

    Sujet

    Background: Germinal center-B (GC-B) cells differentiate into memory B-cells and plasma cells (PC) through interaction with T-cells and follicular dendritic cells (FDC). CD320 augments the proliferation of PC precursors generated by IL-10. Receptor for the cellular uptake of transcobalamin bound cobalamin.

    Aliases: 8D6 antibody, 8D6 antigen antibody, 8D6A antibody, CD320 antibody, CD320 antigen antibody, CD320_HUMAN antibody, FDC-signaling molecule 8D6 antibody, FDC-SM-8D6 antibody, TCblR antibody, Transcobalamin receptor antibody

    UniProt

    Q9NPF0
Vous êtes ici:
Chat with us!