Tel:
+49 (0)241 95 163 153
Fax:
+49 (0)241 95 163 155
E-Mail:
orders@anticorps-enligne.fr

TRIP10 anticorps (AA 276-486)

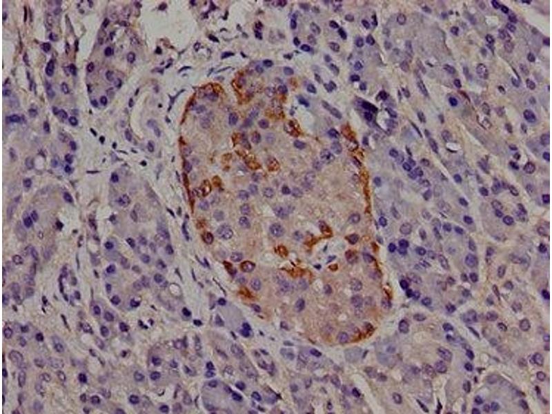
L’anticorps anti-TRIP10 Polyclonal Lapin est utilisé pour la détection de TRIP10 dans des échantillons de Humain. Il a été validé pour ELISA, IF et IHC.
N° du produit ABIN7147218
328,90 €
Plus frais de livraison 40,00 € et TVA
Destination: France
Envoi sous 11 à 15 jours ouvrables

Aperçu rapide pour TRIP10 anticorps (AA 276-486) (ABIN7147218)

Antigène

Voir toutes TRIP10 Anticorps
TRIP10 (Thyroid Hormone Receptor Interactor 10 (TRIP10))

Reactivité

  • 52
  • 39
  • 9
  • 7
  • 6
  • 4
  • 4
  • 3
  • 3
  • 2
  • 2
  • 1
  • 1
Humain

Hôte

  • 65
  • 2
Lapin

Clonalité

  • 51
  • 16
Polyclonal

Conjugué

  • 33
  • 5
  • 4
  • 4
  • 1
  • 1
  • 1
  • 1
  • 1
  • 1
  • 1
  • 1
  • 1
  • 1
  • 1
  • 1
  • 1
  • 1
  • 1
  • 1
  • 1
  • 1
  • 1
  • 1
  • 1
Cet anticorp TRIP10 est non-conjugé

Application

  • 57
  • 21
  • 14
  • 13
  • 13
  • 9
  • 5
  • 4
  • 3
  • 2
  • 1
  • 1
ELISA, Immunofluorescence (IF), Immunohistochemistry (IHC)
  • Épitope

    • 15
    • 8
    • 7
    • 3
    • 2
    • 2
    • 2
    • 2
    • 1
    • 1
    • 1
    • 1
    • 1
    • 1
    • 1
    • 1
    • 1
    AA 276-486

    Fonction

    TRIP10 Antibody

    Purification

    Protein G purified

    Pureté

    >95 %

    Immunogène

    Recombinant Human Cdc42-interacting protein 4 protein (276-486AA)

    Isotype

    IgG
  • Indications d'application

    Optimal working dilution should be determined by the investigator.

    Restrictions

    For Research Use only
  • Format

    Liquid

    Buffer

    Preservative: 0.03 % Proclin 300
    Constituents: 50 % Glycerol, 0.01M PBS, pH 7.4

    Agent conservateur

    ProClin

    Précaution d'utilisation

    This product contains ProClin: a POISONOUS AND HAZARDOUS SUBSTANCE which should be handled by trained staff only.

    Stock

    -20 °C,-80 °C

    Stockage commentaire

    Upon receipt, store at -20°C or -80°C. Avoid repeated freeze.
  • Antigène

    TRIP10 (Thyroid Hormone Receptor Interactor 10 (TRIP10))

    Autre désignation

    TRIP10

    Sujet

    Background: Required for translocation of GLUT4 to the plasma membrane in response to insulin signaling (By similarity). Required to coordinate membrane tubulation with reorganization of the actin cytoskeleton during endocytosis. Binds to lipids such as phosphatidylinositol 4,5-bisphosphate and phosphatidylserine and promotes membrane invagination and the formation of tubules. Also promotes CDC42-induced actin polymerization by recruiting WASL/N-WASP which in turn activates the Arp2/3 complex. Actin polymerization may promote the fission of membrane tubules to form endocytic vesicles. Required for the formation of podosomes, actin-rich adhesion structures specific to monocyte-derived cells. May be required for the lysosomal retention of FASLG/FASL.

    Aliases: Cdc42 interacting protein 4 antibody, Cdc42 interaction protein 4 long isoform antibody, Cdc42-interacting protein 4 antibody, CG11341 antibody, CG15015 PA antibody, Cip 4 antibody, CIP4 antibody, CIP4_HUMAN antibody, DCIP4 antibody, hSTP antibody, Protein Felic antibody, Salt tolerant protein antibody, Salt tolerator antibody, STOT antibody, STP antibody, Thyroid hormone receptor interactor 10 antibody, Thyroid receptor interacting protein 10 antibody, Thyroid receptor-interacting protein 10 antibody, TR-interacting protein 10 antibody, TRIP 10 antibody, TRIP-10 antibody, trip10 antibody, Truncated Cdc42 interaction protein 4 antibody

    UniProt

    Q15642
Vous êtes ici:
Chat with us!